• Tel: 858.663.9055
  • SeparatorEmail: info@nsjbio.com
  • Tel: 858.663.9055
  • Email: info@nsjbio.com
Home >> Antibodies >> NSE Antibody / Neuron Specific Enolase

NSE Antibody / Neuron Specific Enolase [clone ENO2/1375] (V3398)

  Catalog No Formulation Size Price (USD)  
Image V3398-100UG 0.2 mg/ml in 1X PBS with 0.1 mg/ml BSA (US sourced) and 0.05% sodium azide 100 ug 539
Image
V3398-20UG 0.2 mg/ml in 1X PBS with 0.1 mg/ml BSA (US sourced) and 0.05% sodium azide 20 ug 249
Image
V3398SAF-100UG 1 mg/ml in 1X PBS; BSA free, sodium azide free 100 ug 539
Bulk quote request
IHC testing of FFPE human cerebellum with NSE antibody (clone ENO2/1375). Required HIER: boil sections in pH 9 10mM Tris with 1mM EDTA for 10-20 min.
IHC testing of FFPE human pheochromocytoma with NSE antibody (clone ENO2/1375). Required HIER: boil sections in pH 9 10mM Tris with 1mM EDTA for 10-20 min.
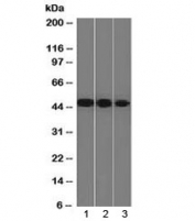
Western blot testing of human 1) Y79, 2) HeLa and 3) HepG2 cell lysate with NSE antibody (clone ENO2/1375). Predicted molecular weight ~47 kDa.
IHC testing of FFPE mouse pancreas with NSE antibody (clone ENO2/1375). Required HIER: boil sections in pH 9 10mM Tris with 1mM EDTA for 10-20 min.
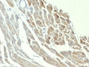
IHC testing of FFPE rat heart with NSE antibody (clone ENO2/1375). Required HIER: boil sections in pH 9 10mM Tris with 1mM EDTA for 10-20 min.
SDS-PAGE Analysis of Purified, BSA-Free NSE Antibody (clone ENO2/1375). Confirmation of Integrity and Purity of the Antibody.
Species Reactivity Human, Mouse, Rat
Format Purified
Clonality Monoclonal (mouse origin)
Isotype Mouse IgG2b, kappa
Clone Name ENO2/1375
Purity Protein G affinity chromatography
Buffer 1X PBS, pH 7.4
UniProt P09104
Gene ID 2026
Localization Cytoplasmic
Applications Western Blot : 1-2ug/ml
Immunohistochemistry (FFPE) : 0.2-0.4ug/ml for 30 min at RT
Limitations This NSE antibody is available for research use only.
Review this product on BioCompare and get a $20 Amazon gift card

Related Products

Description

Recognizes a protein of about 50kDa, which is identified as gamma-Enolase/Neuron Specific Enolase/Enolase 2. Three isoenzymes of enolases are identified, alpha, beta and gamma. Alpha-isoform is expressed in most tissues, whereas beta-form is expressed predominantly in muscle tissue and gamma-enolase is found only in nervous tissue. These isoforms exist as both homodimers and heterodimers, and they play a role in converting phosphoglyceric acid to phosphenolpyruvic acid in the glycolytic pathway. NSE is a useful marker to identify peripheral nerves and tumors of neuro-endocrine origins, such as pheochromocytomas. It it be usually employed in combination with other markers such as Synaptophysin, Chromogranin A, and Neurofilament.

Application Notes

The concentration stated for each application is a general starting point. Variations in protocols, secondaries and substrates may require the NSE antibody to be titered up or down for optimal performance.

Immunogen

Amino acids 416-433 of human Neuron Specific Enolase were used as the immunogen for this NSE antibody.

Storage

Store the NSE antibody at 2-8oC (with azide) or aliquot and store at -20oC or colder (without azide).

Cross
Bulk Quote Request Form
Name*:
Organization*:
Email*:
Phone Number*:
Catalog No.*:
Comments and Specifics(amount, formulation, etc.)*:
Validation code: Captchapackage Image


Can't read the image? click here to refresh.
    *required field

Your bulk quote request has been submitted successfully!

Please contact us if you have any questions.