• Tel: 858.663.9055
  • SeparatorEmail: info@nsjbio.com
  • Tel: 858.663.9055
  • Email: info@nsjbio.com
Home >> Antibodies >> NRF1 Antibody / Nuclear Respiratory Factor 1

NRF1 Antibody / Nuclear Respiratory Factor 1 (R31050)

  Catalog No Formulation Size Price (USD)  
Image R31050 0.5mg/ml if reconstituted with 0.2ml sterile DI water 100 ug 439
Bulk quote request
Western blot testing of human 1) U-2 OS and 2) HeLa cell lysate with NRF1 antibody. Expected molecular weight: isoforms from 45-67 kDa.
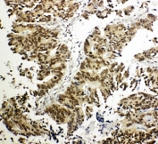
IHC-P: NRF1 antibody testing of human breast cancer tissue
IHC-P: NRF1 antibody testing of human intestinal cancer tissue
ICC testing of NRF1 antibody and A549 cells
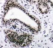
IHC-P: NRF1 antibody testing of rat intestine tissue
Availability 1-3 business days
Species Reactivity Human, Mouse, Rat
Format Antigen affinity purified
Clonality Polyclonal (rabbit origin)
Isotype Rabbit IgG
Purity Antigen affinity
Buffer Lyophilized from 1X PBS with 2.5% BSA and 0.025% sodium azide/thimerosal
UniProt Q16656
Applications Western Blot : 0.5-1ug/ml
IHC (FFPE) : 0.5-1ug/ml
Immunocytochemistry : 0.5-1ug/ml
Limitations This NRF1 antibody is available for research use only.
Review this product on BioCompare and get a $20 Amazon gift card

Related Products

Description

Nuclear Respiratory Factor 1 is also known as Alpha-Pal. Efiok et al.(1994) identified genes containing NRF1-binding sequences and found that these could be classified either as cellular proliferation genes, or as genes regulating the growth-responsive metabolic pathways of energy transduction, translation, and replication. Virbasius and Scarpulla (1994) noted that the nuclear-encoded mitochondrial transcription factorTFAMcontains potential binding sites for NRF1, NRF2(GABPA) and SP1 within the promoter region. With use of binding and electrophoretic mobility shift assays, DNase footprinting, and mutation analysis of recombinant proteins, they demonstrated specific and functional binding ofNRF1andNRF2to the TFAM promoter region.

Application Notes

The stated application concentrations are suggested starting amounts. Titration of the NRF1 antibody may be required due to differences in protocols and secondary/substrate sensitivity.

Immunogen

An amino acid sequence from the middle region of human Nuclear Respiratory Factor 1 (QHGREDLLYAFEDQQTQ) was used as the immunogen for this NRF1 antibody (100% homologous in human, mouse and rat).

Storage

After reconstitution, the NRF1 antibody can be stored for up to one month at 4oC. For long-term, aliquot and store at -20oC. Avoid repeated freezing and thawing.

Cross
Bulk Quote Request Form
Name*:
Organization*:
Email*:
Phone Number*:
Catalog No.*:
Comments and Specifics(amount, formulation, etc.)*:
Validation code: Captchapackage Image


Can't read the image? click here to refresh.
    *required field

Your bulk quote request has been submitted successfully!

Please contact us if you have any questions.