• Tel: 858.663.9055
  • SeparatorEmail: info@nsjbio.com
  • Tel: 858.663.9055
  • Email: info@nsjbio.com
Home >> Antibodies >> NQO1 Antibody

NQO1 Antibody (RQ8937)

  Catalog No Formulation Size Price (USD)  
Image RQ8937 0.5mg/ml if reconstituted with 0.2ml sterile DI water 100 ug 439
Bulk quote request
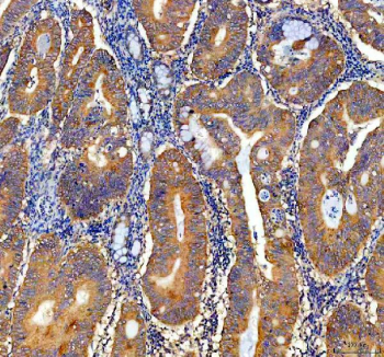
IHC staining of FFPE human colon cancer tissue with NQO1 antibody, HRP-secondary and DAB substrate. HIER: boil tissue sections in pH8 EDTA for 20 min and allow to cool before testing.
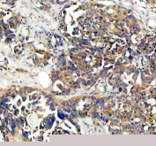
IHC staining of FFPE human ovarian cancer tissue with NQO1 antibody, HRP-secondary and DAB substrate. HIER: boil tissue sections in pH8 EDTA for 20 min and allow to cool before testing.
Immunofluorescent staining of FFPE human HeLa cells with NQO1 antibody (red) and DAPI nuclear stain (blue).
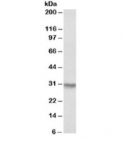
Western blot testing of human 1) MCF7, 2) HeLa and 3) A549 cell lysate with NQO1 antibody. Predicted molecular weight ~30 kDa.
Flow cytometry testing of fixed and permeabilized human MCF7 cells with NQO1 antibody at 1ug/million cells (blocked with goat sera); Red=cells alone, Green=isotype control, Blue= NQO1 antibody.
Availability 1-2 days
Species Reactivity Human
Format Purified
Clonality Polyclonal (rabbit origin)
Isotype Rabbit IgG
Purity Affinity purified
UniProt P15559
Localization Cytoplasm
Applications Western Blot : 1-2ug/ml
Immunohistochemistry (FFPE) : 2-5ug/ml
ELISA : 0.1-0.5ug/ml
Immunofluorescence : 5ug/ml
Flow Cytometry : 1-3ug/million cells
Limitations This NQO1 antibody is available for research use only.
Review this product on BioCompare and get a $20 Amazon gift card

Related Products

  • Applications : WB, IF, IHC-P
    Reactivity : Human, Mouse, Rat
    Rab Mono Image
  • Applications : WB
    Reactivity : Human, Mouse, Rat
  • Applications : WB, FACS, IF, ELISA
    Reactivity : Human
  • Applications : WB, IF/ICC, ELISA (peptide)
    Reactivity : Human
    Pred. Reactivity : Dog, Pig, Cow
  • Applications : WB, IHC-P, IF/ICC, ELISA (peptide)
    Reactivity : Human, Rat, Pig
  • Applications : WB
    Reactivity : Human, Rat

Description

NAD(P)H:quinone oxidoreductase 1 (NQO1) is a cytosolic flavoprotein that plays a central role in cellular defense against oxidative stress. As a 2-electron reductase, NQO1 catalyzes the reduction of quinones to hydroquinones, thereby preventing the formation of reactive oxygen species through redox cycling. This detoxifying activity contributes to the maintenance of redox homeostasis and protection of cells from oxidative damage. Research with an NQO1 antibody has provided valuable insights into its functions in normal physiology and disease.

NQO1 expression is regulated by the Nrf2 pathway and is upregulated under stress conditions as part of the antioxidant response. Elevated levels of this enzyme have been reported in various cancers, suggesting a dual role in both cytoprotection and tumor progression. Studies using an NQO1 antibody have linked the protein to drug metabolism, chemoresistance, and its potential as a therapeutic target. Beyond oncology, NQO1 has been studied in relation to cardiovascular disease, neurodegeneration, and aging.

The enzyme also stabilizes certain proteins by protecting them from proteasomal degradation, further highlighting its regulatory importance in cell survival pathways. Given these diverse roles, the use of an NQO1 antibody is valuable for detecting protein expression across tissues, evaluating stress responses, and exploring disease-specific alterations. NSJ Bioreagents offers high-quality NQO1 antibody reagents designed for applications including western blot, immunohistochemistry, and immunofluorescence, enabling researchers to further define the biological significance of this multifunctional protein.

Application Notes

Optimal dilution of the NQO1 antibody should be determined by the researcher.

Immunogen

Amino acids M1-K274 from the human protein were used as the immunogen for the NQO1 antibody.

Storage

After reconstitution, the NQO1 antibody can be stored for up to one month at 4oC. For long-term, aliquot and store at -20oC. Avoid repeated freezing and thawing.

Cross
Bulk Quote Request Form
Name*:
Organization*:
Email*:
Phone Number*:
Catalog No.*:
Comments and Specifics(amount, formulation, etc.)*:
Validation code: Captchapackage Image


Can't read the image? click here to refresh.
    *required field

Your bulk quote request has been submitted successfully!

Please contact us if you have any questions.