• Tel: 858.663.9055
  • SeparatorEmail: info@nsjbio.com
  • Tel: 858.663.9055
  • Email: info@nsjbio.com
Home >> Antibodies >> NQO1 Antibody

NQO1 Antibody (R35927)

  Catalog No Formulation Size Price (USD)  
Image R35927-100UG 0.5 mg/ml in 1X TBS, pH7.3, with 0.5% BSA (US sourced) and 0.02% sodium azide 100 ug 449
Bulk quote request
Western blot testing of human kidney lysate with NQO1 antibody at 0.03ug/ml. Predicted molecular weight ~30 kDa.
Western blot of rat (A) and pig (B) kidney lysate with NQO1 antibody at 1ug/ml. Predicted molecular weight ~30 kDa.
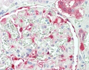
IHC testing of FFPE human kidney tissue with NQO1 antibody at 5ug/ml. Required HIER: steamed antigen retrieval with pH6 citrate buffer; AP-staining.
IF/ICC testing of fixed and permeabilized human HepG2 cells with NQO1 antibody (green) at 5ug/ml and DAPI nuclear stain (blue).
Availability 1-3 business days
Species Reactivity Human, Rat, Pig
Format Antigen affinity purified
Clonality Polyclonal (goat origin)
Isotype Goat Ig
Purity Antigen affinity
Gene ID 1728
Localization Cytoplasmic
Applications Western Blot : 0.03-0.1ug/ml
IHC (FFPE) : 5ug/ml
IF/ICC : 5ug/ml
ELISA (peptide) LOD : 1:64000
Limitations This NQO1 antibody is available for research use only.
Review this product on BioCompare and get a $20 Amazon gift card

Related Products

  • Applications : WB, IF, IHC-P
    Reactivity : Human, Mouse, Rat
    Rab Mono Image
  • Applications : WB
    Reactivity : Human, Mouse, Rat
  • Applications : WB, FACS, IF, ELISA
    Reactivity : Human
  • Applications : WB, IF/ICC, ELISA (peptide)
    Reactivity : Human
    Pred. Reactivity : Dog, Pig, Cow
  • Applications : WB
    Reactivity : Human, Rat
  • Applications : WB, IF, IHC-P, FACS
    Reactivity : Human

Description

Additional name(s) for this target protein: NAD(P)H dehydrogenase, quinone 1

Application Notes

Optimal dilution of the NQO1 antibody should be determined by the researcher.

Immunogen

Amino acids SIPTDNQIKARK were used as the immunogen for this NQO1 antibody.

Storage

Aliquot and store the NQO1 antibody at -20oC.

Cross
Bulk Quote Request Form
Name*:
Organization*:
Email*:
Phone Number*:
Catalog No.*:
Comments and Specifics(amount, formulation, etc.)*:
Validation code: Captchapackage Image


Can't read the image? click here to refresh.
    *required field

Your bulk quote request has been submitted successfully!

Please contact us if you have any questions.