• Tel: 858.663.9055
  • SeparatorEmail: info@nsjbio.com
  • Tel: 858.663.9055
  • Email: info@nsjbio.com
Home >> Antibodies >> NQO1 Antibody

NQO1 Antibody [clone AAOB-14] (RQ5489)

  Catalog No Formulation Size Price (USD)  
Image RQ5489 Antibody in PBS with 0.02% sodium azide, 50% glycerol and 0.4-0.5mg/ml BSA 100 ul 439
Microvalidated Rab Mono Image
Bulk quote request
Western blot testing of human SH-SY5Y cell lysate with NQO1 antibody. Predicted molecular weight ~30 kDa.
Immunofluorescent staining of FFPE human MCF7 cells with NQO1 antibody (green) and DAPI nuclear stain (blue).
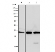
Western blot testing of human 1) HeLa, 2) HepG2 and 3) MCF7 cell lysate with NQO1 antibody. Predicted molecular weight ~30 kDa.
Western blot testing of mouse kidney tissue lysate with NQO1 antibody. Predicted molecular weight ~30 kDa.
Western blot testing of rat 1) liver, 2) spleen and 3) lung tissue lysate with NQO1 antibody. Predicted molecular weight ~30 kDa.
Western blot testing of 1) human A549, 2) human HepG2, 3) human MCF7, 4) human SH-SY5Y, 5) rat RH35 and 6) rat C6 cell lysate with NQO1 antibody. Predicted molecular weight ~30 kDa.
IHC staining of FFPE mouse stomach tissue with NQO1 antibody. HIER: boil tissue sections in pH8 EDTA for 20 min and allow to cool before testing.
Availability 1-2 weeks
Species Reactivity Human, Mouse, Rat
Format Purified
Clonality Rabbit Monoclonal
Isotype Rabbit IgG
Clone Name AAOB-14
Purity Affinity purified
UniProt P15559
Applications Western Blot : 1:1000-1:5000
Immunofluorescence : 1:50-1:200
Immunohistochemistry (FFPE) : 1:50-1:200
Limitations This NQO1 antibody is available for research use only.
Review this product on BioCompare and get a $20 Amazon gift card

Related Products

  • Applications : WB
    Reactivity : Human, Mouse, Rat
  • Applications : WB, FACS, IF, ELISA
    Reactivity : Human
  • Applications : WB, IF/ICC, ELISA (peptide)
    Reactivity : Human
    Pred. Reactivity : Dog, Pig, Cow
  • Applications : WB, IHC-P, IF/ICC, ELISA (peptide)
    Reactivity : Human, Rat, Pig
  • Applications : WB
    Reactivity : Human, Rat
  • Applications : WB, IF, IHC-P, FACS
    Reactivity : Human

Description

This gene is a member of the NAD(P)H dehydrogenase (quinone) family and encodes a cytoplasmic 2-electron reductase. This FAD-binding protein forms homodimers and reduces quinones to hydroquinones. This protein's enzymatic activity prevents the one electron reduction of quinones that results in the production of radical species. Mutations in this gene have been associated with tardive dyskinesia (TD), an increased risk of hematotoxicity after exposure to benzene, and susceptibility to various forms of cancer. Altered expression of this protein has been seen in many tumors and is also associated with Alzheimer's disease (AD). Alternate transcriptional splice variants, encoding different isoforms, have been characterized. [RefSeq]

Application Notes

Optimal dilution of the NQO1 antibody should be determined by the researcher.

Immunogen

A synthetic peptide specific to human NQO1 was used as the immunogen for the NQO1 antibody.

Storage

Store the NQO1 antibody at -20oC.

Cross
Bulk Quote Request Form
Name*:
Organization*:
Email*:
Phone Number*:
Catalog No.*:
Comments and Specifics(amount, formulation, etc.)*:
Validation code: Captchapackage Image


Can't read the image? click here to refresh.
    *required field

Your bulk quote request has been submitted successfully!

Please contact us if you have any questions.