• Tel: 858.663.9055
  • SeparatorEmail: info@nsjbio.com
  • Tel: 858.663.9055
  • Email: info@nsjbio.com
Home >> Antibodies >> NPM1 Antibody

NPM1 Antibody (F48248)

  Catalog No Formulation Size Price (USD)  
Image F48248-0.4ML In 1X PBS, pH 7.4, with 0.09% sodium azide 0.4 ml 429
Image
F48248-0.08ML In 1X PBS, pH 7.4, with 0.09% sodium azide 0.08 ml 199
Bulk quote request
Fluorescent image of A549 cells stained with NPM1 antibody. Alexa Fluor 488 conjugated secondary was used (green). NPM1 immunoreactivity is localized to the nucleus and nucleolus significantly.
NPM1 antibody western blot analysis in 1) HeLa and 2) Jurkat lysate. Expected/observed molecular weight: ~38kDa.
NPM1 antibody flow cytometric analysis of HeLa cells (green) compared to a negative control (blue). FITC-conjugated goat-anti-rabbit secondary Ab was used for the analysis.
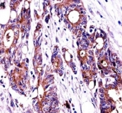
NPM1 antibody immunohistochemistry analysis in formalin fixed and paraffin embedded human colon carcinoma.
Availability 1-3 business days
Species Reactivity Human
Format Purified
Clonality Polyclonal (rabbit origin)
Isotype Rabbit Ig
Purity Purified
UniProt P06748
Applications Immunofluorescence : 1:10-1:50
Western Blot : 1:1000
Flow Cytometry : 1:10-1:50
IHC (Paraffin) : 1:10-1:50
Limitations This NPM1 antibody is available for research use only.
Review this product on BioCompare and get a $20 Amazon gift card

Related Products

Description

Nucleophosmin/NPM1 is a ubiquitously expressed nucleolar protein that shuttles between the nucleus and cytoplasm. It is implicated in multiple functions, including ribosomal protein assembly and transport, control of centrosome duplication, and regulation of the tumor suppressor ARF. NPM1 mutations that relocalize NPM1 from the nucleus into the cytoplasm are associated with development of acute myeloid leukemia.

Application Notes

Titration of the NPM1 antibody may be required due to differences in protocols and secondary/substrate sensitivity.

Immunogen

A portion of amino acids 198-226 from the human protein was used as the immunogen for this NPM1 antibody.

Storage

Aliquot the NPM1 antibody and store frozen at -20oC or colder. Avoid repeated freeze-thaw cycles.

Cross
Bulk Quote Request Form
Name*:
Organization*:
Email*:
Phone Number*:
Catalog No.*:
Comments and Specifics(amount, formulation, etc.)*:
Validation code: Captchapackage Image


Can't read the image? click here to refresh.
    *required field

Your bulk quote request has been submitted successfully!

Please contact us if you have any questions.