• Tel: 858.663.9055
  • SeparatorEmail: info@nsjbio.com
  • Tel: 858.663.9055
  • Email: info@nsjbio.com
Home >> Antibodies >> NPM Antibody / Nucleophosmin

NPM Antibody / Nucleophosmin [clone NLPP1-1] (V7607)

  Catalog No Formulation Size Price (USD)  
Image V7607-100UG 0.2 mg/ml in 1X PBS with 0.1 mg/ml BSA (US sourced) and 0.05% sodium azide 100 ug 539
Image
V7607-20UG 0.2 mg/ml in 1X PBS with 0.1 mg/ml BSA (US sourced) and 0.05% sodium azide 20 ug 249
Image
V7607SAF-100UG 1 mg/ml in 1X PBS; BSA free, sodium azide free 100 ug 539
Image
V7607IHC-7ML Prediluted in 1X PBS with 0.1 mg/ml BSA (US sourced) and 0.05% sodium azide; *For IHC use only* 7 ml 539
Bulk quote request
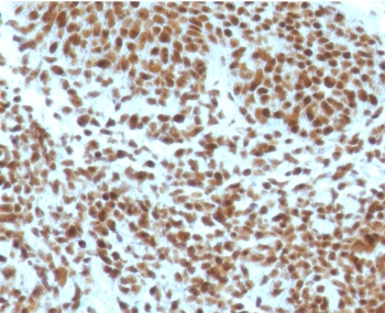
IHC staining of FFPE human basal cell carcinoma with NPM antibody (clone NLPP1-1). HIER: boil tissue sections in pH 9 10mM Tris with 1mM EDTA for 10-20 min and allow to cool before testing.
Western blot testing of human K562 cell lysate with Nucleophosmin antibody (clone NLPP1-1). Expected molecular weight ~38 kDa.
Availability 1-3 business days
Species Reactivity Human
Format Purified
Clonality Monoclonal (mouse origin)
Isotype Mouse IgG1, kappa
Clone Name NLPP1-1
Purity Protein G affinity chromatography
UniProt P06748
Localization Nuclear, cytoplasmic
Applications Western Blot : 1-2ug/ml
Immunohistochemistry (FFPE) : 1-2ug/ml for 30 min at RT
Prediluted IHC Only Format : incubate for 30 min at RT (1)
Limitations This NPM antibody is available for research use only.
Review this product on BioCompare and get a $20 Amazon gift card

Related Products

Description

The protein encoded by the NPM1 gene is involved in several cellular processes, including centrosome duplication, protein chaperoning, and cell proliferation. The encoded phosphoprotein shuttles between the nucleolus, nucleus, and cytoplasm, chaperoning ribosomal proteins and core histones from the nucleus to the cytoplasm. This protein is also known to sequester the tumor suppressor ARF in the nucleolus, protecting it from degradation until it is needed. Mutations in this gene are associated with acute myeloid leukemia. [RefSeq]

Application Notes

Optimal dilution of the NPM antibody should be determined by the researcher.

1. The prediluted format is supplied in a dropper bottle and is optimized for use in IHC. After epitope retrieval step (if required), drip mAb solution onto the tissue section and incubate at RT for 30 min.

Immunogen

A portion of amino acids 185-287 from the human protein was used as the immunogen for the NPM antibody.

Storage

Store the NPM antibody at 2-8oC (with azide) or aliquot and store at -20oC or colder (without azide).

Cross
Bulk Quote Request Form
Name*:
Organization*:
Email*:
Phone Number*:
Catalog No.*:
Comments and Specifics(amount, formulation, etc.)*:
Validation code: Captchapackage Image


Can't read the image? click here to refresh.
    *required field

Your bulk quote request has been submitted successfully!

Please contact us if you have any questions.