• Tel: 858.663.9055
  • SeparatorEmail: info@nsjbio.com
  • Tel: 858.663.9055
  • Email: info@nsjbio.com
Home >> Antibodies >> NPC2 Antibody / Niemann Pick C2

NPC2 Antibody / Niemann Pick C2 (RQ4408)

  Catalog No Formulation Size Price (USD)  
Image RQ4408 0.5mg/ml if reconstituted with 0.2ml sterile DI water 100 ug 439
Bulk quote request
Western blot testing of human SK-OV-3 cell lysate with NPC2 antibody at 0.5ug/ml. Predicted molecular weight: ~17 kDa, can be observed as a ~21/23 kDa doublet in human samples. (Ref 1).
Western blot testing of human U-2 OS cell lysate with NPC2 antibody at 0.5ug/ml. Predicted molecular weight: ~17 kDa, can be observed as a ~21/23 kDa doublet in human samples. (Ref 1).
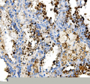
IHC testing of FFPE human renal cancer tissue with NPC2 antibody at 2ug/ml. Required HIER: steam section in pH6 citrate buffer for 20 min and allow to cool prior to staining.
Availability 1-3 business days
Species Reactivity Human
Format Antigen affinity purified
Clonality Polyclonal (rabbit origin)
Isotype Rabbit IgG
Purity Antigen affinity purified
Buffer Lyophilized from 1X PBS with 2% Trehalose
UniProt P61916
Localization Cytoplasmic, secreted
Applications Western Blot : 0.5-1ug/ml
Immunohistochemistry (FFPE) : 2-5ug/ml
Limitations This NPC2 antibody is available for research use only.
Review this product on BioCompare and get a $20 Amazon gift card

Related Products

Description

NPC2 is a protein associated with Niemann-Pick disease, type C. This gene is mapped to chromosome 14q24.3. It encodes a protein containing a lipid recognition domain. The encoded protein may function in regulating the transport of cholesterol through the late endosomal/lysosomal system. Mutations in this gene have been associated with Niemann-Pick disease, type C2 and frontal lobe atrophy.

Application Notes

Optimal dilution of the NPC2 antibody should be determined by the researcher.

Immunogen

Amino acids KSEYPSIKLVVEWQLQDDKNQSLFCWEIPVQIVS from the human protein were used as the immunogen for the NPC2 antibody.

Storage

After reconstitution, the NPC2 antibody can be stored for up to one month at 4oC. For long-term, aliquot and store at -20oC. Avoid repeated freezing and thawing.

Cross
Bulk Quote Request Form
Name*:
Organization*:
Email*:
Phone Number*:
Catalog No.*:
Comments and Specifics(amount, formulation, etc.)*:
Validation code: Captchapackage Image


Can't read the image? click here to refresh.
    *required field

Your bulk quote request has been submitted successfully!

Please contact us if you have any questions.