• Tel: 858.663.9055
  • SeparatorEmail: info@nsjbio.com
  • Tel: 858.663.9055
  • Email: info@nsjbio.com
Home >> Antibodies >> NOXO1 Antibody

NOXO1 Antibody (R35614)

  Catalog No Formulation Size Price (USD)  
Image R35614-100UG 0.5 mg/ml in 1X TBS, pH7.3, with 0.5% BSA (US sourced) and 0.02% sodium azide 100 ug 449
Bulk quote request
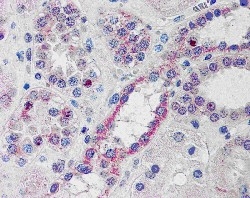
IHC testing of FFPE human kidney with NOXO1 antibody at 10ug/ml. HIER: steamed with pH6 citrate buffer, AP-staining.
Availability 1-3 business days
Species Reactivity Human
Format Antigen affinity purified
Clonality Polyclonal (goat origin)
Isotype Goat Ig
Purity Antigen affinity
Gene ID 124056
Applications Immunohistochemistry (FFPE) : 10-20ug/ml
ELISA (peptide) LOD : 1:16000
Limitations This NOXO1 antibody is available for research use only.
Review this product on BioCompare and get a $20 Amazon gift card

Related Products

Description

Additional name(s) for this target protein: NADPH oxidase organizer 1

Application Notes

Optimal dilution of the NOXO1 antibody should be determined by the researcher.

Immunogen

Amino acids RGCVDSVPHPTTEQ were used as the immunogen for this NOXO1 antibody.

Storage

Aliquot and store the NOXO1 antibody at -20oC.

Cross
Bulk Quote Request Form
Name*:
Organization*:
Email*:
Phone Number*:
Catalog No.*:
Comments and Specifics(amount, formulation, etc.)*:
Validation code: Captchapackage Image


Can't read the image? click here to refresh.
    *required field

Your bulk quote request has been submitted successfully!

Please contact us if you have any questions.