• Tel: 858.663.9055
  • SeparatorEmail: info@nsjbio.com
  • Tel: 858.663.9055
  • Email: info@nsjbio.com
Home >> Antibodies >> NOXO1 Antibody / NADPH oxidase organizer 1

NOXO1 Antibody / NADPH oxidase organizer 1 (FY13015)

  Catalog No Formulation Size Price (USD)  
Image FY13015 Adding 0.2 ml of distilled water will yield a concentration of 500 ug/ml 100 ug 439
Bulk quote request
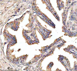
Immunohistochemical staining of NOXO1 using anti-NOXO1 antibody. NOXO1 was detected in a paraffin-embedded section of human colon cancer tissue. Heat mediated antigen retrieval was performed in EDTA buffer (pH 8.0, epitope retrieval solution). The tissue section was blocked with 10% goat serum. The tissue section was then incubated with 2 ug/ml rabbit anti-NOXO1 antibody overnight at 4oC. Peroxidase Conjugated Goat Anti-rabbit IgG was used as secondary antibody and incubated for 30 minutes at 37oC. The tissue section was developed using an HRP secondary and DAB substrate.
Western blot analysis of NOXO1 using anti-NOXO1 antibody. Electrophoresis was performed on a 10% SDS-PAGE gel at 80V (Stacking gel) / 120V (Resolving gel) for 2 hours. Lane 1: human Hacat whole cell lysates, Lane 2: human Jurkat whole cell lysates, Lane 3: human SIHA whole cell lysates, Lane 4: human Hela whole cell lysates, Lane 5: rat testis tissue lysates, Lane 6: mouse small intestine tissue lysates, Lane 7: mouse testis tissue lysates. After electrophoresis, proteins were transferred to a nitrocellulose membrane at 150 mA for 50-90 minutes. Blocked the membrane with 5% non-fat milk/TBS for 1.5 hour at RT. The membrane was incubated with rabbit anti-NOXO1 antibody at 0.5 ug/ml overnight at 4oC, then washed with TBS-0.1%Tween 3 times with 5 minutes each and probed with a goat anti-rabbit IgG-HRP secondary antibody at a dilution of 1:5000 for 1.5 hour at RT. The signal was developed using an ECL Plus Western Blotting Substrate. A specific band was detected for NOXO1 at approximately 41 kDa. The expected molecular weight of NOXO1 is ~41 kDa.
Immunohistochemical staining of NOXO1 using anti-NOXO1 antibody. NOXO1 was detected in a paraffin-embedded section of human prostate cancer tissue. Heat mediated antigen retrieval was performed in EDTA buffer (pH 8.0, epitope retrieval solution). The tissue section was blocked with 10% goat serum. The tissue section was then incubated with 2 ug/ml rabbit anti-NOXO1 antibody overnight at 4oC. Peroxidase Conjugated Goat Anti-rabbit IgG was used as secondary antibody and incubated for 30 minutes at 37oC. The tissue section was developed using an HRP secondary and DAB substrate.
Availability 1-2 days
Species Reactivity Human, Mouse, Rat
Format Lyophilized
Clonality Polyclonal (rabbit origin)
Isotype Rabbit IgG
Purity Immunogen affinity purified
Buffer Each vial contains 4 mg Trehalose, 0.9 mg NaCl, 0.2 mg Na2HPO4.
UniProt Q8NFA2
Applications Western Blot : 0.25-0.5ug/ml
Immunohistochemistry : 2-5ug/ml
ELISA : 0.1-0.5ug/ml
Limitations This NOXO1 antibody is available for research use only.
Review this product on BioCompare and get a $20 Amazon gift card

Related Products

Description

NOXO1 antibody detects NADPH oxidase organizer 1, a cytosolic adaptor protein that regulates reactive oxygen species (ROS) production by the NADPH oxidase complex. The UniProt recommended name is NADPH oxidase organizer 1 (NOXO1). This protein is a functional homolog of p47phox and is required for assembling and activating NADPH oxidase in nonphagocytic cells.

Functionally, NOXO1 antibody identifies a 376-amino-acid protein containing PX (phox homology) and SH3 (Src homology 3) domains that mediate membrane localization and protein-protein interactions. NOXO1 binds to membrane subunits such as NOX1, NOXA1, and p22phox, organizing them into an active complex that transfers electrons from NADPH to oxygen, generating superoxide. This process supports cellular signaling, host defense, and redox homeostasis.

The NOXO1 gene is located on chromosome 16q22.1 and encodes a regulatory component expressed in epithelial cells of the colon, prostate, and vascular tissues. Unlike its phagocytic counterpart p47phox, NOXO1 lacks an autoinhibitory region, resulting in constitutive activity under resting conditions. Its expression enables sustained ROS generation in nonimmune cells for physiological signaling functions such as cell proliferation and differentiation.

In redox signaling, NOXO1-derived ROS modulate kinase activation, ion transport, and gene expression. In the intestine, NOXO1 contributes to mucosal defense and microbial balance by supporting NOX1-mediated oxidative activity. In vascular and neural tissues, it influences smooth muscle tone and neuronal excitability. Dysregulation of NOXO1 expression or complex assembly has been implicated in oxidative stress-related disorders, including inflammatory bowel disease and hypertension.

NOXO1 antibody is widely used in redox biology, signaling, and oxidative stress research. It is suitable for western blotting, immunofluorescence, and co-immunoprecipitation to analyze NOXO1 expression and complex formation. This antibody aids in studying NADPH oxidase regulation, reactive oxygen generation, and oxidative signaling pathways. It is also useful in exploring NOX1 and NOX3 complex activity in epithelial and neuronal systems.

Structurally, NOXO1 features an N-terminal PX domain that binds phosphoinositides and C-terminal SH3 motifs that engage proline-rich regions of target proteins. Post-translational regulation includes phosphorylation and redox-dependent modifications that modulate its interaction with NOXA1 and NOX1. NSJ Bioreagents provides NOXO1 antibody reagents validated for use in redox signaling, ROS metabolism, and membrane complex assembly studies.

Application Notes

Optimal dilution of the NOXO1 antibody should be determined by the researcher.

Immunogen

E.coli-derived human NOXO1 recombinant protein (Position: M1-E294) was used as the immunogen for the NOXO1 antibody.

Storage

After reconstitution, the NOXO1 antibody can be stored for up to one month at 4oC. For long-term, aliquot and store at -20oC. Avoid repeated freezing and thawing.

Cross
Bulk Quote Request Form
Name*:
Organization*:
Email*:
Phone Number*:
Catalog No.*:
Comments and Specifics(amount, formulation, etc.)*:
Validation code: Captchapackage Image


Can't read the image? click here to refresh.
    *required field

Your bulk quote request has been submitted successfully!

Please contact us if you have any questions.