• Tel: 858.663.9055
  • SeparatorEmail: info@nsjbio.com
  • Tel: 858.663.9055
  • Email: info@nsjbio.com
Home >> Antibodies >> NOX4 Antibody / NADPH oxidase 4

NOX4 Antibody / NADPH oxidase 4 [clone E-14] (RQ4482)

  Catalog No Formulation Size Price (USD)  
Image RQ4482 Antibody in PBS with 0.02% sodium azide, 50% glycerol and 0.4-0.5mg/ml BSA 100 ul 439
Microvalidated Rab Mono Image
Bulk quote request
Western blot testing of human JAR cell lysate with NOX4 antibody at 0.5ug/ml. Expected molecular weight: ~65 kDa, 75-80 kDa.
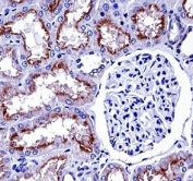
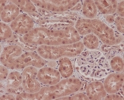
IHC testing of FFPE rat kidney with NOX4 antibody at 2ug/ml. HIER: boil tissue sections in pH6, 10mM citrate buffer, for 10-20 min followed by cooling at RT for 20 min.
Immunofluorescent staining of human HeLa cells with NOX4 antibody (green) and DAPI nuclear stain (blue).
Availability 1-2 weeks
Species Reactivity Human, Mouse, Rat
Format Purified
Clonality Rabbit Monoclonal
Isotype Rabbit IgG
Clone Name E-14
Purity Protein A affinity
UniProt Q9NPH5
Localization Cytoplasm (ER membrane)
Applications Western Blot : 1:500-1:2000
Immunohistochemisty (FFPE) : 1:50-1:200
Immunofluorescence : 1:50-1:200
Limitations This NOX4 antibody is available for research use only.
Review this product on BioCompare and get a $20 Amazon gift card

Related Products

Description

Constitutive NADPH oxidase which generates superoxide intracellularly upon formation of a complex with CYBA/p22phox. Regulates signaling cascades probably through phosphatases inhibition. May function as an oxygen sensor regulating the KCNK3/TASK-1 potassium channel and HIF1A activity. May regulate insulin signaling cascade. May play a role in apoptosis, bone resorption and lipolysaccharide-mediated activation of NFKB. May produce superoxide in the nucleus and play a role in regulating gene expression upon cell stimulation. Isoform 3 is not functional. Isoform 5 and isoform 6 display reduced activity. [UniProt]

Application Notes

Optimal dilution of the NOX4 antibody should be determined by the researcher.

Immunogen

A synthetic peptide from human NOX4 was used as the immunogen for the NOX4 antibody.

Storage

Store the NOX4 antibody at -20oC.

Cross
Bulk Quote Request Form
Name*:
Organization*:
Email*:
Phone Number*:
Catalog No.*:
Comments and Specifics(amount, formulation, etc.)*:
Validation code: Captchapackage Image


Can't read the image? click here to refresh.
    *required field

Your bulk quote request has been submitted successfully!

Please contact us if you have any questions.