• Tel: 858.663.9055
  • SeparatorEmail: info@nsjbio.com
  • Tel: 858.663.9055
  • Email: info@nsjbio.com
Home >> Antibodies >> NOX4 Antibody

NOX4 Antibody (F43447)

  Catalog No Formulation Size Price (USD)  
Image F43447-0.4ML In 1X PBS, pH 7.4, with 0.09% sodium azide 0.4 ml 429
Image
F43447-0.08ML In 1X PBS, pH 7.4, with 0.09% sodium azide 0.08 ml 199
Bulk quote request
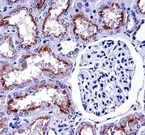
NOX4 antibody IHC analysis in formalin fixed and paraffin embedded human kidney tissue.
NOX4 antibody western blot analysis in CEM lysate. Expected molecular weight: ~65 kDa, 75-80 kDa.
Availability 1-3 business days
Species Reactivity Human
Format Antigen affinity purified
Clonality Polyclonal (rabbit origin)
Isotype Rabbit Ig
Purity Antigen affinity
UniProt Q9NPH5
Localization Cytoplasmic and cell surface
Applications Western Blot : 1:1000
IHC (Paraffin) : 1:10-1:50
Limitations This NOX4 antibody is available for research use only.
Review this product on BioCompare and get a $20 Amazon gift card

Related Products

Description

This gene encodes a member of the NOX-family of enzymes that functions as the catalytic subunit the NADPH oxidase complex. The encoded protein is localized to non-phagocytic cells where it acts as an oxygen sensor and catalyzes the reduction of molecular oxygen to various reactive oxygen species (ROS). The ROS generated by this protein have been implicated in numerous biological functions including signal transduction, cell differentiation and tumor cell growth. A pseudogene has been identified on the other arm of chromosome 11. Alternative splicing results in multiple transcript variants.

Application Notes

Titration of the NOX4 antibody may be required due to differences in protocols and secondary/substrate sensitivity.

Immunogen

A portion of amino acids 124-153 from the human protein was used as the immunogen for this NOX4 antibody.

Storage

Aliquot the NOX4 antibody and store frozen at -20oC or colder. Avoid repeated freeze-thaw cycles.

Cross
Bulk Quote Request Form
Name*:
Organization*:
Email*:
Phone Number*:
Catalog No.*:
Comments and Specifics(amount, formulation, etc.)*:
Validation code: Captchapackage Image


Can't read the image? click here to refresh.
    *required field

Your bulk quote request has been submitted successfully!

Please contact us if you have any questions.