• Tel: 858.663.9055
  • SeparatorEmail: info@nsjbio.com
  • Tel: 858.663.9055
  • Email: info@nsjbio.com
Home >> Antibodies >> NOX2 Antibody / gp91phox / CYBB

NOX2 Antibody / gp91phox / CYBB (R36115)

  Catalog No Formulation Size Price (USD)  
Image R36115-100UG 0.5 mg/ml in 1X TBS, pH7.3, with 0.5% BSA (US sourced) and 0.02% sodium azide 100 ug 449
Bulk quote request
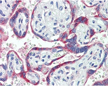
IHC staining of FFPE human placenta with NOX2 antibody at 3.8ug/ml. HIER: steamed with pH6 citrate buffer, AP-staining.
Availability 1-3 business days
Species Reactivity Human
Predicted Reactivity Dog
Format Antigen affinity purified
Clonality Polyclonal (goat origin)
Isotype Goat Ig
Purity Antigen affinity
Gene ID 1536
Localization Cytoplasmic
Applications Immunohistochemistry (FFPE) : 2-4ug/ml
ELISA (peptide) LOD : 1:64000
Limitations This NOX2 antibody is available for research use only.
Review this product on BioCompare and get a $20 Amazon gift card

Related Products

Description

Additional name(s) for this target protein: NADPH oxidase 2, GP91-PHOX, cytochrome b-245 beta (CYBB); CYBB

Application Notes

Optimal dilution of the NOX2 antibody should be determined by the researcher.

Immunogen

Amino acids SYLNFARKRIKNP were used as the immunogen for this NOX2 antibody.

Storage

Aliquot and store the NOX2 antibody at -20oC.

Cross
Bulk Quote Request Form
Name*:
Organization*:
Email*:
Phone Number*:
Catalog No.*:
Comments and Specifics(amount, formulation, etc.)*:
Validation code: Captchapackage Image


Can't read the image? click here to refresh.
    *required field

Your bulk quote request has been submitted successfully!

Please contact us if you have any questions.