• Tel: 858.663.9055
  • SeparatorEmail: info@nsjbio.com
  • Tel: 858.663.9055
  • Email: info@nsjbio.com
Home >> Antibodies >> NOX2 Antibody/ gp91phox / CYBB

NOX2 Antibody/ gp91phox / CYBB (R30752)

  Catalog No Formulation Size Price (USD)  
Image R30752 0.5mg/ml if reconstituted with 0.2ml sterile DI water 100 ug 439
Bulk quote request
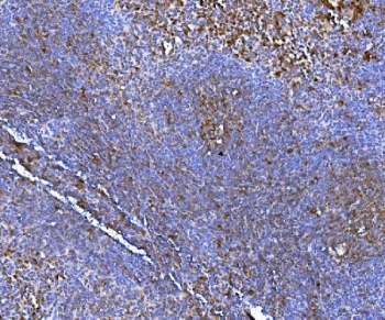
IHC staining of FFPE mouse spleen tissue with NOX2 antibody. HIER: boil tissue sections in pH8 EDTA for 20 min and allow to cool before testing.
IHC staining of FFPE rat spleen tissue with NOX2 antibody. HIER: boil tissue sections in pH8 EDTA for 20 min and allow to cool before testing.
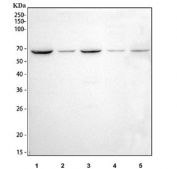
Western blot testing of human U937 cell lysate with NOX2 antibody. Predicted molecular weight ~65 kDa, can be observed at ~85 kDa.
Western blot testing of 1) human Raji, 2) human Jurkat, 3) human MCF7, 4) rat RH35 and 5) mouse RAW264.7 cell lysate with NOX2 antibody. Predicted molecular weight ~65 kDa, can be observed at ~85 kDa.
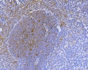
IHC staining of FFPE human tonsil tissue with NOX2 antibody. HIER: boil tissue sections in pH8 EDTA for 20 min and allow to cool before testing.
Availability 1-3 business days
Species Reactivity Human, Mouse, Rat
Format Antigen affinity purified
Clonality Polyclonal (rabbit origin)
Isotype Rabbit IgG
Purity Antigen affinity
Buffer Lyophilized from 1X PBS with 2% Trehalose
UniProt P04839
Applications Western Blot : 0.5-1ug/ml
Immunohistochemistry (FFPE) : 2-5ug/ml
Limitations This NOX2 antibody is available for research use only.
Review this product on BioCompare and get a $20 Amazon gift card

Related Products

  • Applications : WB
    Reactivity : Human
    Rab Mono Image
  • Applications : IHC-P, ELISA (peptide)
    Reactivity : Human
    Pred. Reactivity : Dog
  • Applications : WB, ELISA
    Reactivity : Human, Mouse, Rat
  • Applications : WB, IHC-P, IF, FACS, Direct ELISA
    Reactivity : Human
  • Applications : WB, FACS, Direct ELISA
    Reactivity : Human

Description

NADPH Oxidase 2, also called CYBB, p91-PHOX or GP91-1, is an essential component of phagocytic NADPH-oxidase, a membrane-bound enzyme complex that generates large quantities of microbicidal superoxide and other oxidants upon activation. NOX2 assembled on DC phagosomes in a gp91-phox subunit-dependent manner, and reactive oxygen species were produced in a more sustained manner in immature DC phagosomes than in macrophage phagosomes. As a major player in innate immune responses in neutrophils, it is also involved in adaptive immunity through its activity in DCs. In heart cells, physiologic stretch rapidly activates reduced-form NOX2 to produce reactive oxygen species (ROS) in a process dependent on microtubules (X-ROS signaling).

Application Notes

The stated application concentrations are suggested starting amounts. Titration of the NOX2 antibody may be required due to differences in protocols and secondary/substrate sensitivity.

Immunogen

An amino acid sequence from the middle region of human NOX2 (YWLCRDTHAFEWFADLLQ) was used as the immunogen for this NOX2 antibody (100% homologous in human, mouse and rat).

Storage

After reconstitution, the NOX2 antibody can be stored for up to one month at 4oC. For long-term, aliquot and store at -20oC. Avoid repeated freezing and thawing.

Cross
Bulk Quote Request Form
Name*:
Organization*:
Email*:
Phone Number*:
Catalog No.*:
Comments and Specifics(amount, formulation, etc.)*:
Validation code: Captchapackage Image


Can't read the image? click here to refresh.
    *required field

Your bulk quote request has been submitted successfully!

Please contact us if you have any questions.