• Tel: 858.663.9055
  • SeparatorEmail: info@nsjbio.com
  • Tel: 858.663.9055
  • Email: info@nsjbio.com
Home >> Antibodies >> NOX1 Antibody

NOX1 Antibody (R30751)

  Catalog No Formulation Size Price (USD)  
Image R30751 0.5mg/ml if reconstituted with 0.2ml sterile DI water 100 ug 439
Bulk quote request
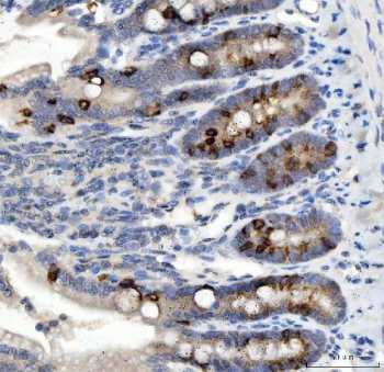
IHC staining of FFPE rat colon tissue with NOX1 antibody. HIER: boil tissue sections in pH8 EDTA for 20 min and allow to cool before testing.
Western blot testing of 1) rat brain and 2) mouse brain tissue with NOX1 antibody. Predicted molecular weight ~65 kDa.
Availability 1-3 business days
Species Reactivity Mouse, Rat
Format Antigen affinity purified
Clonality Polyclonal (rabbit origin)
Isotype Rabbit IgG
Purity Antigen affinity
Buffer Lyophilized from 1X PBS with 2% Trehalose
UniProt Q9WV87
Applications Western Blot : 0.5-1ug/ml
Immunohistochemistry (FFPE) : 2-5ug/ml
Limitations This NOX1 antibody is available for research use only.
Review this product on BioCompare and get a $20 Amazon gift card

Related Products

  • Applications : WB, IHC-P
    Reactivity : Human
  • Applications : WB, ELISA
    Reactivity : Human
  • Applications : WB, ELISA (peptide)
    Reactivity : Human
    Pred. Reactivity : Cow, Dog, Mouse

Description

NADPH OXIDASE 1, also known as NOH1, MOX1 or GP91-2, is an enzyme that in humans is encoded by the NOX1 gene. It is also a homolog of the catalytic subunit of the superoxide-generating NADPH oxidase of phagocytes, gp91phox. It is expressed in colon, prostate, uterus, and vascular smooth muscle, but not in peripheral blood leukocytes. The deduced 564-amino acid NOX1 protein, which is 58% identical to CYBB, contains 6 membrane-spanning regions, conserved flavin and pyridine nucleotide-binding sites, and histidines possibly involved in heme ligation. Overexpression of NOX1 in NIH3T3 cells increased superoxide generation and cell growth. Cells expressing NOX1 had a transformed appearance, showed anchorage-independent growth, and produced tumors in athymic mice. Disruption of either Nox1 or Nox2 significantly delayed progression of motor neuron disease in these mice. However, 50% survival rates were enhanced significantly more by Nox2 deletion than Nox1 deletion.

Application Notes

The stated application concentrations are suggested starting amounts. Titration of the NOX1 antibody may be required due to differences in protocols and secondary/substrate sensitivity.

Immunogen

An amino acid sequence from the middle region of rat NOX1 (WYKFQRAHNKLKTQK) was used as the immunogen for this NOX1 antibody.

Storage

After reconstitution, the NOX1 antibody can be stored for up to one month at 4oC. For long-term, aliquot and store at -20oC. Avoid repeated freezing and thawing.

Cross
Bulk Quote Request Form
Name*:
Organization*:
Email*:
Phone Number*:
Catalog No.*:
Comments and Specifics(amount, formulation, etc.)*:
Validation code: Captchapackage Image


Can't read the image? click here to refresh.
    *required field

Your bulk quote request has been submitted successfully!

Please contact us if you have any questions.