• Tel: 858.663.9055
  • SeparatorEmail: info@nsjbio.com
  • Tel: 858.663.9055
  • Email: info@nsjbio.com
Home >> Antibodies >> NOS2 Antibody / iNOS

NOS2 Antibody / iNOS (F54232)

  Catalog No Formulation Size Price (USD)  
Image F54232-0.4ML In 1X PBS, pH 7.4, with 0.09% sodium azide 0.4 ml 429
Image
F54232-0.08ML In 1X PBS, pH 7.4, with 0.09% sodium azide 0.08 ml 199
Bulk quote request
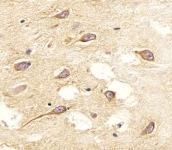
IHC testing of FFPE human brain tissue with NOS2 antibody. HIER: steam section in pH6 citrate buffer for 20 min and allow to cool prior to staining.
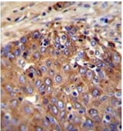
IHC testing of FFPE human hepatocarcinoma with NOS2 antibody. HIER: steam section in pH6 citrate buffer for 20 min and allow to cool prior to staining.
Immunofluorescent staining of fixed and permeabilized human A549 cells with NOS2 antibody (green), DAPI nuclear stain (blue) and anti-Actin (red).
Western blot testing of human Y79 cell lysate with NOS2 antibody. Predicted molecular weight ~130 kDa.
Western blot testing of human A549 cell lysate with NOS2 antibody. Predicted molecular weight ~130 kDa.
Western blot testing of human CEM cell lysate with NOS2 antibody. Predicted molecular weight ~130 kDa.
Flow cytometry testing of fixed and permeabilized human Jurkat cells with NOS2 antibody; Blue=isotype control, Green= NOS2 antibody.
Availability 1-3 business days
Species Reactivity Human
Format Purified
Clonality Polyclonal (rabbit origin)
Isotype Rabbit Ig
Purity Antigen affinity purified
UniProt P35228
Gene ID 4843
Localization Cytoplasmic
Applications Western Blot : 1:1000-1:2000
Immunohistochemistry (FFPE) : 1:25-1:50
Flow Cytometry : 1:25 (1x10e6 cells)
Immunofluorescence : 1:25
Limitations This NOS2 antibody is available for research use only.
Review this product on BioCompare and get a $20 Amazon gift card

Related Products

  • Applications : WB, IHC-P
    Reactivity : Human
  • Applications : WB, Direct ELISA
    Reactivity : Mouse

Description

Nitric oxide is a reactive free radical which acts as a biologic mediator in several processes, including neurotransmission and antimicrobial and antitumoral activities. This gene encodes a nitric oxide synthase which is expressed in liver and is inducible by a combination of lipopolysaccharide and certain cytokines. Three related pseudogenes are located within the Smith-Magenis syndrome region on chromosome 17.

Application Notes

The stated application concentrations are suggested starting points. Titration of the NOS2A antibody may be required due to differences in protocols and secondary/substrate sensitivity.

Immunogen

A portion of amino acids 830-860 from the human protein were used as the immunogen for the NOS2 antibody.

Storage

Aliquot the NOS2 antibody and store frozen at -20oC or colder. Avoid repeated freeze-thaw cycles.

Cross
Bulk Quote Request Form
Name*:
Organization*:
Email*:
Phone Number*:
Catalog No.*:
Comments and Specifics(amount, formulation, etc.)*:
Validation code: Captchapackage Image


Can't read the image? click here to refresh.
    *required field

Your bulk quote request has been submitted successfully!

Please contact us if you have any questions.