• Tel: 858.663.9055
  • SeparatorEmail: info@nsjbio.com
  • Tel: 858.663.9055
  • Email: info@nsjbio.com
Home >> Antibodies >> Nogo A Antibody / RTN4 / Reticulon 4

Nogo A Antibody / RTN4 / Reticulon 4 (RQ5920)

  Catalog No Formulation Size Price (USD)  
Image RQ5920 0.5mg/ml if reconstituted with 0.2ml sterile DI water 100 ug 439
Bulk quote request
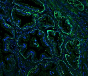
Immunofluorescent staining of FFPE human prostate cancer with Nogo A antibody (green) and DAPI nuclear stain (blue). HIER: steam section in pH8 EDTA for 20 min.
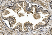
IHC staining of FFPE human prostate cancer with Nogo A antibody. HIER: boil tissue sections in pH8 EDTA for 20 min and allow to cool before testing.
Immunofluorescent staining of FFPE human U-2 OS cells with Nogo A antibody (red) and DAPI nuclear stain (blue). HIER: steam section in pH6 citrate buffer for 20 min.
Western blot testing of human 1) U-87 MG and 2) SH-SY5Y lysate with Nogo A antibody. Predicted molecular weight ~130 kDa but may be observed at up to ~220 kDa.
Flow cytometry testing of human SiHa cells with Nogo A antibody at 1ug/million cells (blocked with goat sera); Red=cells alone, Green=isotype control, Blue= Nogo A antibody.
Availability 1-3 business days
Species Reactivity Human, Mouse
Format Antigen affinity purified
Clonality Polyclonal (rabbit origin)
Isotype Rabbit IgG
Purity Affinity purified
Buffer Lyophilized from 1X PBS with 2% Trehalose and 0.025% sodium azide
UniProt Q9NQC3
Applications Western Blot : 0.5-1ug/ml
Immunohistochemistry : 1-2ug/ml
Immunofluorescence : 2-4ug/ml
Flow Cytometry : 1-3ug/million cells
Limitations This Nogo A antibody is available for research use only.
Review this product on BioCompare and get a $20 Amazon gift card

Related Products

Description

Human neurite outgrowth inhibitor (NOGO) cDNAs encodes 3 splice variants: NOGOA, NOGOB and NOGOC. The longest cDNA, designated NOGOA, has an open reading frame of 1192 amino acids. It is a potent inhibitor of neurite growth and an IN-1 antigen produced by oligodendrocytes, and may allow the generation of new reagents to enhance CNS regeneration and plasticity. Nogo-A, a member of the Reticulon family, is expressed by oligodendrocytes and associates primarily with the endoplasmic reticulum. The acidic amino terminus of Nogo-A is detected at the cytosolic face of cellular membranes and may contribute to inhibition of axon regeneration at sites of oligodendrocyte injury. A multivalent form of the N terminus of Nogo-A affects the morphology of both neurons and other cell types.

Application Notes

Optimal dilution of the Nogo A antibody should be determined by the researcher.

Immunogen

Amino acids VSNNILHNQQELPTALTKLV from the human protein were used as the immunogen for the Nogo A antibody.

Storage

After reconstitution, the Nogo A antibody can be stored for up to one month at 4oC. For long-term, aliquot and store at -20oC. Avoid repeated freezing and thawing.

Cross
Bulk Quote Request Form
Name*:
Organization*:
Email*:
Phone Number*:
Catalog No.*:
Comments and Specifics(amount, formulation, etc.)*:
Validation code: Captchapackage Image


Can't read the image? click here to refresh.
    *required field

Your bulk quote request has been submitted successfully!

Please contact us if you have any questions.