• Tel: 858.663.9055
  • SeparatorEmail: info@nsjbio.com
  • Tel: 858.663.9055
  • Email: info@nsjbio.com
Home >> Antibodies >> Noggin Antibody / NOG

Noggin Antibody / NOG (R32957)

  Catalog No Formulation Size Price (USD)  
Image R32957 0.5mg/ml if reconstituted with 0.2ml sterile DI water 100 ug 439
Bulk quote request
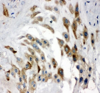
IHC staining of FFPE human placental tissue with Noggin antibody. HIER: boil tissue sections in pH8 EDTA for 20 min and allow to cool before testing.
Western blot testing of human 1) HeLa, 2) MCF7, 3) HepG2, 4) A375 and 5) 22RV1 cell lysate with Noggin antibody at 0.5ug/ml. Predicted molecular weight ~26 kDa.
Availability 1-3 business days
Species Reactivity Human, Mouse, Rat
Format Antigen affinity purified
Clonality Polyclonal (rabbit origin)
Isotype Rabbit IgG
Purity Antigen affinity
Buffer Lyophilized from 1X PBS with 2% Trehalose and 0.025% sodium azide
UniProt Q13253
Applications Western Blot : 0.5-1ug/ml
Immunohistochemistry (FFPE) : 2-5ug/ml
Direct ELISA (recombinant Human Protein) : 0.1-0.5ug/ml (BSA-free format available)
Limitations This Noggin antibody is available for research use only.
Review this product on BioCompare and get a $20 Amazon gift card

Description

The secreted polypeptide, encoded by NOG gene, binds and inactivates members of the transforming growth factor-beta (TGF-beta) superfamily signaling proteins, such as bone morphogenetic protein-4 (BMP4). By diffusing through extracellular matrices more efficiently than members of the TGF-beta superfamily, this protein may have a principal role in creating morphogenic gradients. The protein appears to have pleiotropic effect, both early in development as well as in later stages. It was originally isolated from Xenopus based on its ability to restore normal dorsal-ventral body axis in embryos that had been artificially ventralized by UV treatment. The results of the mouse knockout of the ortholog suggest that it is involved in numerous developmental processes, such as neural tube fusion and joint formation. Recently, several dominant human NOG mutations in unrelated families with proximal symphalangism (SYM1) and multiple synostoses syndrome (SYNS1) were identified; both SYM1 and SYNS1 have multiple joint fusion as their principal feature, and map to the same region (17q22) as this gene. All of these mutations altered evolutionarily conserved amino acid residues. The amino acid sequence of this human gene is highly homologous to that of Xenopus, rat and mouse.

Application Notes

Optimal dilution of the Noggin antibody should be determined by the researcher.

Immunogen

A recombinant human protein corresponding to amino acids L43-T153 was used as the immunogen for the Noggin antibody.

Storage

After reconstitution, the Noggin antibody can be stored for up to one month at 4oC. For long-term, aliquot and store at -20oC. Avoid repeated freezing and thawing.

Cross
Bulk Quote Request Form
Name*:
Organization*:
Email*:
Phone Number*:
Catalog No.*:
Comments and Specifics(amount, formulation, etc.)*:
Validation code: Captchapackage Image


Can't read the image? click here to refresh.
    *required field

Your bulk quote request has been submitted successfully!

Please contact us if you have any questions.