• Tel: 858.663.9055
  • SeparatorEmail: info@nsjbio.com
  • Tel: 858.663.9055
  • Email: info@nsjbio.com
Home >> Antibodies >> NMU Antibody / Neuromedin-U

NMU Antibody / Neuromedin-U (RQ4097)

  Catalog No Formulation Size Price (USD)  
Image RQ4097 0.5mg/ml if reconstituted with 0.2ml sterile DI water 100 ug 439
Bulk quote request
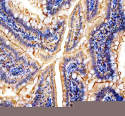
IHC staining of FFPE mouse colon tissue with NMU antibody, HRP-secondary and DAB substrate. HIER: boil tissue sections in pH8 EDTA for 20 min and allow to cool before testing.
IHC staining of FFPE rat colon tissue with NMU antibody, HRP-secondary and DAB substrate. HIER: boil tissue sections in pH8 EDTA for 20 min and allow to cool before testing.
Western blot testing of 1) rat PC-12, 2) mouse kidney and 3) mouse Neuro-2a cell lysate with NMU antibody at 0.5ug/ml. Expected molecular weight: 20-25 kDa.
Availability 1-3 business days
Species Reactivity Mouse, Rat
Format Antigen affinity purified
Clonality Polyclonal (rabbit origin)
Isotype Rabbit IgG
Purity Antigen affinity purified
Buffer Lyophilized from 1X PBS with 2% Trehalose
UniProt P48645
Applications Western Blot : 0.5-1ug/ml
Immunohistochemistry (FFPE) : 2-5ug/ml
Limitations This NMU antibody is available for research use only.
Review this product on BioCompare and get a $20 Amazon gift card

Description

NMU (Neuromedin-U) is a neuropeptide widely expressed in both the central nervous system and peripheral tissues. It is known for its conserved C-terminal pentapeptide motif, which is essential for receptor binding and biological activity. NMU exerts its physiological effects through interaction with two G protein-coupled receptors: NMUR1, primarily expressed in peripheral tissues, and NMUR2, which is predominantly found in the brain.

NMU plays a regulatory role in various biological functions, including energy balance, gastrointestinal activity, stress responses, and cardiovascular regulation. Its tissue-specific expression and receptor distribution make it a valuable target in studies of neuroendocrine signaling and metabolic control. Additionally, NMU expression is often evaluated in experimental models exploring neuropeptide function and receptor-ligand signaling pathways.

The NMU antibody is a reliable tool for detecting endogenous Neuromedin-U in applications such as western blot, immunohistochemistry, and immunofluorescence. Researchers use the NMU antibody from NSJ Bioreagents to monitor protein expression patterns, assess tissue localization, and study signaling dynamics in response to physiological or experimental stimuli. With high specificity and consistent performance, the NMU antibody supports detailed investigations into neuropeptide biology, receptor pathways, and regulatory peptide function.

Application Notes

Optimal dilution of the NMU antibody should be determined by the researcher.

Immunogen

Amino acids FRVDEEFQSPFASQSRGYFLFRPRN from the human protein were used as the immunogen for the NMU antibody.

Storage

After reconstitution, the NMU antibody can be stored for up to one month at 4oC. For long-term, aliquot and store at -20oC. Avoid repeated freezing and thawing.

Cross
Bulk Quote Request Form
Name*:
Organization*:
Email*:
Phone Number*:
Catalog No.*:
Comments and Specifics(amount, formulation, etc.)*:
Validation code: Captchapackage Image


Can't read the image? click here to refresh.
    *required field

Your bulk quote request has been submitted successfully!

Please contact us if you have any questions.