• Tel: 858.663.9055
  • SeparatorEmail: info@nsjbio.com
  • Tel: 858.663.9055
  • Email: info@nsjbio.com
Home >> Antibodies >> NMNAT1 Antibody / Nicotinamide mononucleotide adenylyltransferase 1

NMNAT1 Antibody / Nicotinamide mononucleotide adenylyltransferase 1 (FY12671)

  Catalog No Formulation Size Price (USD)  
Image FY12671 Adding 0.2 ml of distilled water will yield a concentration of 500 ug/ml 100 ug 439
Bulk quote request
Immunofluorescent staining of NMNAT1 using anti-NMNAT1 antibody (red). NMNAT1 was detected in a paraffin-embedded section of rat brain tissue. Heat mediated antigen retrieval was performed in EDTA buffer (pH 8.0, epitope retrieval solution). The tissue section was blocked with 10% goat serum. The tissue section was then incubated with 5 ug/ml rabbit anti-NMNAT1 antibody overnight at 4oC. Cy3 Conjugated Goat Anti-Rabbit IgG was used as secondary antibody at 1:500 dilution and incubated for 30 minutes at 37oC. The section was counterstained with DAPI nuclear stain (blue). Visualize using a fluorescence microscope and filter sets appropriate for the label used.
Western blot analysis of NMNAT1 using anti-NMNAT1 antibody. Electrophoresis was performed on a 10% SDS-PAGE gel at 80V (Stacking gel) / 120V (Resolving gel) for 2 hours. Lane 1: rat heart tissue lysates, Lane 2: rat kidney tissue lysates, Lane 3: mouse skeletal muscle tissue lysates, Lane 4: mouse heart tissue lysates, Lane 5: mouse kidney tissue lysates. After electrophoresis, proteins were transferred to a nitrocellulose membrane at 150 mA for 50-90 minutes. Blocked the membrane with 5% non-fat milk/TBS for 1.5 hour at RT. The membrane was incubated with rabbit anti-NMNAT1 antibody at 0.5 ug/ml overnight at 4oC, then washed with TBS-0.1%Tween 3 times with 5 minutes each and probed with a goat anti-rabbit IgG-HRP secondary antibody at a dilution of 1:5000 for 1.5 hour at RT. The signal was developed using an ECL Plus Western Blotting Substrate. Western blot analysis of NMNAT1 using anti-NMNAT1 antibody. A predominant band is observed at ~27-30 kDa, consistent with literature and validated antibody data that NMNAT1 migrates below its ~32 kDa calculated mass.
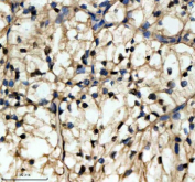
Immunohistochemical staining of NMNAT1 using anti-NMNAT1 antibody. NMNAT1 was detected in a paraffin-embedded section of human renal cancer tissue. Heat mediated antigen retrieval was performed in EDTA buffer (pH 8.0, epitope retrieval solution). The tissue section was blocked with 10% goat serum. The tissue section was then incubated with 2 ug/ml rabbit anti-NMNAT1 antibody overnight at 4oC. Peroxidase Conjugated Goat Anti-rabbit IgG was used as secondary antibody and incubated for 30 minutes at 37oC. The tissue section was developed using an HRP secondary and DAB substrate.
Immunofluorescent staining of NMNAT1 using anti-NMNAT1 antibody (red). NMNAT1 was detected in a paraffin-embedded section of human renal cancer tissue. Heat mediated antigen retrieval was performed in EDTA buffer (pH 8.0, epitope retrieval solution). The tissue section was blocked with 10% goat serum. The tissue section was then incubated with 5 ug/ml rabbit anti-NMNAT1 antibody overnight at 4oC. Cy3 Conjugated Goat Anti-Rabbit IgG was used as secondary antibody at 1:500 dilution and incubated for 30 minutes at 37oC. The section was counterstained with DAPI nuclear stain (blue). Visualize using a fluorescence microscope and filter sets appropriate for the label used.
Immunofluorescent staining of NMNAT1 using anti-NMNAT1 antibody (green) and anti-Beta Tubulin antibody (red). NMNAT1 was detected in an immunocytochemical section of SIHA cells. Enzyme antigen retrieval was performed using IHC enzyme antigen retrieval reagent for 15 mins. The cells were blocked with 10% goat serum. And then incubated with 5 ug/ml rabbit anti-NMNAT1 antibody and mouse anti-Beta Tubulin antibody overnight at 4oC. DyLight 488 Conjugated Goat Anti-Rabbit IgG and Cy3 Conjugated Goat Anti-Mouse IgG were used as secondary antibody at 1:500 dilution and incubated for 30 minutes at 37oC. Visualize using a fluorescence microscope and filter sets appropriate for the label used.
Flow Cytometry analysis of 293T cells using anti-NMNAT1 antibody. Overlay histogram showing 293T cells stained with (Blue line). To facilitate intracellular staining, cells were fixed with 4% paraformaldehyde and permeabilized with permeabilization buffer. The cells were blocked with 10% normal goat serum. And then incubated with rabbit anti-NMNAT1 antibody (1 ug/million cells) for 30 min at 20oC. DyLight 488 conjugated goat anti-rabbit IgG (5-10 ug/million cells) was used as secondary antibody for 30 minutes at 20oC. Isotype control antibody (Green line) was rabbit IgG (1 ug/million cells) used under the same conditions. Unlabelled sample without incubation with primary antibody and secondary antibody (Red line) was used as a blank control.
Availability 1-2 days
Species Reactivity Human, Mouse, Rat
Format Lyophilized
Clonality Polyclonal (rabbit origin)
Isotype Rabbit IgG
Purity Immunogen affinity purified
Buffer Each vial contains 4 mg Trehalose, 0.9 mg NaCl, 0.2 mg Na2HPO4.
UniProt Q9HAN9
Localization Nuclear
Applications Western Blot : 0.25-0.5ug/ml
Immunohistochemistry : 2-5ug/ml
Immunofluorescence : 5ug/ml
Immunocytochemistry/Immunofluorescence : 5ug/ml
Flow Cytometry : 1-3ug/million cells
ELISA : 0.1-0.5ug/ml
Limitations This NMNAT1 antibody is available for research use only.
Review this product on BioCompare and get a $20 Amazon gift card

Related Products

Description

NMNAT1 antibody targets Nicotinamide mononucleotide adenylyltransferase 1, a key nuclear enzyme in the NAD+ biosynthetic pathway. NMNAT1 catalyzes the conversion of nicotinamide mononucleotide (NMN) and ATP to NAD+ and pyrophosphate, representing the final step in the salvage pathway that maintains cellular NAD+ levels. This metabolite is vital for redox reactions, DNA repair, and signaling processes involving sirtuins and PARPs. The NMNAT family includes three isoforms-NMNAT1 (nuclear), NMNAT2 (cytoplasmic/golgi), and NMNAT3 (mitochondrial)-each serving tissue-specific and compartment-specific functions. Among them, NMNAT1 localizes to the nucleus and associates with DNA repair machinery, chromatin remodelers, and transcriptional regulators.

Genetic studies have established that NMNAT1 is essential for embryonic viability and neuronal survival. Mutations in the NMNAT1 gene cause Leber congenital amaurosis type 9 (LCA9), a severe inherited retinal dystrophy characterized by early-onset vision loss due to impaired photoreceptor maintenance. The enzyme's role in maintaining nuclear NAD+ pools underlies its protective effects against oxidative and genotoxic stress. Beyond ocular disease, NMNAT1 contributes to genomic stability by supporting PARP-dependent DNA damage responses. Cellular NAD+ depletion impairs repair efficiency, highlighting NMNAT1 as a therapeutic target for age-related degeneration and metabolic disorders.

In neurobiology, NMNAT1 has gained attention for its neuroprotective potential. Experimental models demonstrate that increasing NMNAT1 expression can delay axonal degeneration following injury, a phenomenon known as Wallerian degeneration slow (WldS). This protective capacity likely arises from preserved nuclear NAD+ synthesis, influencing downstream survival pathways. Moreover, NMNAT1 coordinates with sirtuin-1 (SIRT1) to regulate gene expression and chromatin structure through histone deacetylation mechanisms. Disruption of this balance is linked to premature cellular aging and retinal degeneration.

The NMNAT1 antibody is a critical reagent for probing NAD+ metabolism, DNA repair, and neuroprotection pathways. Researchers use it for western blotting, immunocytochemistry, and immunohistochemistry to detect endogenous NMNAT1 across cell types. Its nuclear localization pattern provides a distinct marker for studying NAD+ biosynthesis compartmentalization. In clinical research, NMNAT1 expression is analyzed in retinal tissues, cancer cell lines, and aging models to evaluate metabolic resilience. The antibody's specificity allows discrimination between NMNAT1 and its cytoplasmic and mitochondrial isoforms, ensuring accurate interpretation of NAD+-related experiments.

Because of its central role in redox regulation, NMNAT1 represents a molecular intersection between energy metabolism, genome integrity, and cellular stress responses. By targeting this enzyme, the NMNAT1 antibody supports studies into retinal dystrophy, neurodegeneration, and therapeutic NAD+ augmentation strategies. NSJ Bioreagents provides a validated NMNAT1 antibody optimized for western blot and immunohistochemical assays, enabling precise analysis of nuclear NAD+ metabolism and DNA repair pathways.

Application Notes

Optimal dilution of the NMNAT1 antibody should be determined by the researcher.

Immunogen

E.coli-derived human NMNAT1 recombinant protein (Position: K56-T279) was used as the immunogen for the NMNAT1 antibody.

Storage

After reconstitution, the NMNAT1 antibody can be stored for up to one month at 4oC. For long-term, aliquot and store at -20oC. Avoid repeated freezing and thawing.

Cross
Bulk Quote Request Form
Name*:
Organization*:
Email*:
Phone Number*:
Catalog No.*:
Comments and Specifics(amount, formulation, etc.)*:
Validation code: Captchapackage Image


Can't read the image? click here to refresh.
    *required field

Your bulk quote request has been submitted successfully!

Please contact us if you have any questions.