• Tel: 858.663.9055
  • SeparatorEmail: info@nsjbio.com
  • Tel: 858.663.9055
  • Email: info@nsjbio.com
Home >> Antibodies >> NLRP7 Antibody

NLRP7 Antibody (RQ6892)

  Catalog No Formulation Size Price (USD)  
Image RQ6892 0.5mg/ml if reconstituted with 0.2ml sterile DI water 100 ug 439
Bulk quote request
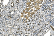
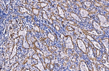
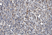
IHC staining of FFPE human splenic rupture tissue with NLRP7 antibody. HIER: boil tissue sections in pH8 EDTA for 20 min and allow to cool before testing.
IHC staining of FFPE human lymphoma tissue with NLRP7 antibody. HIER: boil tissue sections in pH8 EDTA for 20 min and allow to cool before testing.
IHC staining of FFPE human liver cancer tissue with NLRP7 antibody. HIER: boil tissue sections in pH8 EDTA for 20 min and allow to cool before testing.
IHC staining of FFPE human tonsil tissue with NLRP7 antibody. HIER: boil tissue sections in pH8 EDTA for 20 min and allow to cool before testing.
Western blot testing of human RT-4 cell lysate with NLRP7 antibody. Predicted molecular weight ~112 kDa.
Flow cytometry testing of human Daudi cells with NLRP7 antibody at 1ug/million cells (blocked with goat sera); Red=cells alone, Green=isotype control, Blue= NLRP7 antibody.
Availability 1-3 business days
Species Reactivity Human
Format Antigen affinity purified
Clonality Polyclonal (rabbit origin)
Isotype Rabbit IgG
Purity Antigen affinity purified
Buffer Lyophilized from 1X PBS with 2% Trehalose
UniProt Q8WX94
Localization Cytoplasmic
Applications Western Blot : 1-2ug/ml
Immunohistochemistry (FFPE) : 2-5ug/ml
Flow Cytometry : 1-3ug/million cells
Direct ELISA : 0.1-0.5ug/ml
Limitations This NLRP7 antibody is available for research use only.
Review this product on BioCompare and get a $20 Amazon gift card

Description

NACHT, LRR and PYD domains-containing protein 7 is a protein that in humans is encoded by the NLRP7 gene. This gene encodes a member of the NACHT, leucine rich repeat, and PYD containing (NLRP) protein family. It has an N-terminal pyrin domain, followed by a NACHT domain, a NACHT-associated domain (NAD), and a C-terminal leucine-rich repeat (LRR) region. NLRP proteins are implicated in the activation of proinflammatory caspases through multiprotein complexes called inflammasomes. This gene may act as a feedback regulator of caspase-1-dependent interleukin 1-beta secretion. Alternative splicing results in multiple transcript variants encoding different isoforms.

Application Notes

Optimal dilution of the NLRP7 antibody should be determined by the researcher.

Immunogen

Recombinant human protein (amino acids M1-L169) was used as the immunogen for the NLRP7 antibody.

Storage

After reconstitution, the NLRP7 antibody can be stored for up to one month at 4oC. For long-term, aliquot and store at -20oC. Avoid repeated freezing and thawing.

Cross
Bulk Quote Request Form
Name*:
Organization*:
Email*:
Phone Number*:
Catalog No.*:
Comments and Specifics(amount, formulation, etc.)*:
Validation code: Captchapackage Image


Can't read the image? click here to refresh.
    *required field

Your bulk quote request has been submitted successfully!

Please contact us if you have any questions.