• Tel: 858.663.9055
  • SeparatorEmail: info@nsjbio.com
  • Tel: 858.663.9055
  • Email: info@nsjbio.com
Home >> Antibodies >> NKX6.1 Antibody

NKX6.1 Antibody [clone NKX61/2561] (V7446)

  Catalog No Formulation Size Price (USD)  
Image V7446-100UG 0.2 mg/ml in 1X PBS with 0.1 mg/ml BSA (US sourced) and 0.05% sodium azide 100 ug 539
Image
V7446-20UG 0.2 mg/ml in 1X PBS with 0.1 mg/ml BSA (US sourced) and 0.05% sodium azide 20 ug 249
Image
V7446SAF-100UG 1 mg/ml in 1X PBS; BSA free, sodium azide free 100 ug 539
Image
V7446IHC-7ML Prediluted in 1X PBS with 0.1 mg/ml BSA (US sourced) and 0.05% sodium azide; *For IHC use only* 7 ml 539
Microvalidated
Bulk quote request
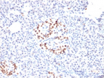
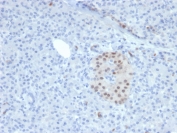
IHC staining of FFPE human pancreas with NKX6.1 antibody. HIER: boil tissue sections in pH6, 10mM citrate buffer, for 10-20 min and allow to cool before testing.
Analysis of HuProt(TM) microarray containing more than 19,000 full-length human proteins using NKX6.1 antibody. These results demonstrate the foremost specificity of the NKX61/2561 mAb.
Z- and S- score: The Z-score represents the strength of a signal that an antibody (in combination with a fluorescently-tagged anti-IgG secondary Ab) produces when binding to a particular protein on the HuProt(TM) array. Z-scores are described in units of standard deviations (SD's) above the mean value of all signals generated on that array. If the targets on the HuProt(TM) are arranged in descending order of the Z-score, the S-score is the difference (also in units of SD's) between the Z-scores. The S-score therefore represents the relative target specificity of an Ab to its intended target.
SDS-PAGE analysis of purified, BSA-free NKX6.1 antibody as confirmation of integrity and purity.
IHC staining of FFPE human pancreas with NKX6.1 antibody. HIER: boil tissue sections in pH6, 10mM citrate buffer, for 10-20 min and allow to cool before testing.
Availability 1-3 business days
Species Reactivity Human
Format Purified
Clonality Monoclonal (mouse origin)
Isotype Mouse IgG2c, kappa
Clone Name NKX61/2561
Purity Protein G affinity chromatography
UniProt P78426
Localization Cytoplasmic
Applications Immunohistochemistry (FFPE) : 1-2ug/ml for 30 min at RT
Limitations This NKX6.1 antibody is available for research use only.
Review this product on BioCompare and get a $20 Amazon gift card

Related Products

  • Applications : WB, ELISA
    Reactivity : Human
    Pred. Reactivity : Mouse, Rat
  • Applications : WB, ELISA
    Reactivity : Human, Mouse
    Pred. Reactivity : Rat

Description

Members of the Nkx family of homeodomain proteins are key regulators of growth and development in several tissues, including brain, heart and pancreas. During neural development, sonic hedgehog (Shh) is known to control cell fate and mitogenesis, which is correlated with Shh dose-dependent expression of several genes, including Nkx-6.1. Specifically, Nkx-6.1 is responsible for cellular differentiation in the ventral neural tube and spinal meninges in response to Shh. In the pancreas, Nkx-6.1 is exclusively expressed in the islets of Langerhans in differentiating and mature B cells, which produce Insulin. The presence of Pdx-1 is required for the expression of Nkx-6.1 as well as other pancreatic B cell specific genes, including Insulin, Glut2 and IAPP. Subsequently, Nkx-6.1 binds to the DNA consensus sequence, TTAATTAC, to direct the repression of specific genes in B cells.Nkx6.1 is highly expressed in pancreatic and duodenal well-differentiated neuroendocrine tumors (WDNETS) and in metastatic WDNETS, is a highly specific marker of tumors of pancreatic origin. It has thus been suggested that Nkx6.1 is a useful inclusion into IHC panels for identifying primary sites of WDNETS.

Application Notes

Optimal dilution of the NKX6.1 antibody should be determined by the researcher.

1. The prediluted format is supplied in a dropper bottle and is optimized for use in IHC. After epitope retrieval step (if required), drip mAb solution onto the tissue section and incubate at RT for 30 min.

Immunogen

Recombinant human protein was used as the immunogen for this NKX6.1 antibody.

Storage

Store the NKX6.1 antibody at 2-8oC (with azide) or aliquot and store at -20oC or colder (without azide).

Cross
Bulk Quote Request Form
Name*:
Organization*:
Email*:
Phone Number*:
Catalog No.*:
Comments and Specifics(amount, formulation, etc.)*:
Validation code: Captchapackage Image


Can't read the image? click here to refresh.
    *required field

Your bulk quote request has been submitted successfully!

Please contact us if you have any questions.