• Tel: 858.663.9055
  • SeparatorEmail: info@nsjbio.com
  • Tel: 858.663.9055
  • Email: info@nsjbio.com
Home >> Antibodies >> NKp46 Antibody / NCR1

NKp46 Antibody / NCR1 (RQ4310)

  Catalog No Formulation Size Price (USD)  
Image RQ4310 0.5mg/ml if reconstituted with 0.2ml sterile DI water 100 ug 439
Bulk quote request
Western blot testing of 1) rat spleen and 2) mouse spleen with NKp46 antibody at 0.5ug/ml. Expected molecular weight: 34-46 kDa depending on glycosylation level.
IHC testing of FFPE mouse spleen tissue with NKp46 antibody at 1ug/ml. Required HIER: steam section in pH6 citrate buffer for 20 min and allow to cool prior to staining.
IHC testing of FFPE rat spleen tissue with NKp46 antibody at 1ug/ml. Required HIER: steam section in pH6 citrate buffer for 20 min and allow to cool prior to staining.
IHC testing of FFPE mouse lung tissue with NKp46 antibody at 1ug/ml. Required HIER: steam section in pH6 citrate buffer for 20 min and allow to cool prior to staining.
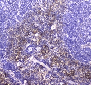
IHC staining of FFPE human tonsil tissue with NKp46 antibody. HIER: boil tissue sections in pH8 EDTA for 20 min and allow to cool before testing.
Availability 1-3 business days
Species Reactivity Human, Mouse, Rat
Format Antigen affinity purified
Clonality Polyclonal (rabbit origin)
Isotype Rabbit IgG
Purity Antigen affinity purified
Buffer Lyophilized from 1X PBS with 2% Trehalose
UniProt O76036
Localization Cell membrane
Applications Western Blot : 0.5-1ug/ml
Immunohistochemistry (FFPE) : 1-2ug/ml
Direct ELISA : 0.1-0.5ug/ml
Limitations This NKp46 antibody is available for research use only.
Review this product on BioCompare and get a $20 Amazon gift card

Related Products

  • Applications : IHC-P, Direct ELISA
    Reactivity : Human, Mouse

Description

Natural cytotoxicity triggering receptor 1, also known as NKp46, is a protein that in humans is encoded by the NCR1 gene. This gene is mapped to chromosome 19, where genes encoding other NK inhibitory and activator structures are also located. NKP46 participates in NK-cell-mediated lysis of cells infected with an intracellular bacterium and that reduced functional capacity of NK cells is associated with severe manifestations of infectious disease.

Application Notes

Optimal dilution of the NKp46 antibody should be determined by the researcher.

Immunogen

A recombinant human protein corresponding to amino acids Q22-R258 was used as the immunogen for the NKp46 antibody.

Storage

After reconstitution, the NKp46 antibody can be stored for up to one month at 4oC. For long-term, aliquot and store at -20oC. Avoid repeated freezing and thawing.

Cross
Bulk Quote Request Form
Name*:
Organization*:
Email*:
Phone Number*:
Catalog No.*:
Comments and Specifics(amount, formulation, etc.)*:
Validation code: Captchapackage Image


Can't read the image? click here to refresh.
    *required field

Your bulk quote request has been submitted successfully!

Please contact us if you have any questions.