• Tel: 858.663.9055
  • SeparatorEmail: info@nsjbio.com
  • Tel: 858.663.9055
  • Email: info@nsjbio.com
Home >> Antibodies >> NKCC2 Antibody / SLC12A1 / OCT1

NKCC2 Antibody / SLC12A1 / OCT1 (R31289)

  Catalog No Formulation Size Price (USD)  
Image R31289 0.5mg/ml if reconstituted with 0.2ml sterile DI water 100 ug 439
Bulk quote request
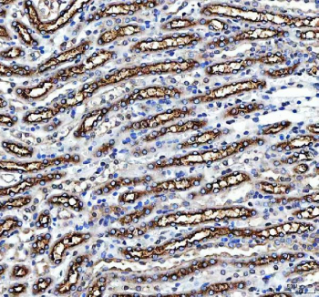
IHC staining of FFPE mouse kidney tissue with NKCC2 antibody, HRP-secondary and DAB substrate. HIER: boil tissue sections in pH8 EDTA for 20 min and allow to cool before testing.
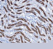
IHC staining of FFPE rat kidney tissue with NKCC2 antibody, HRP-secondary and DAB substrate. HIER: boil tissue sections in pH8 EDTA for 20 min and allow to cool before testing.
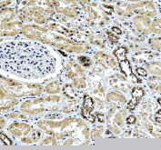
IHC staining of FFPE human kidney tissue with NKCC2 antibody, HRP-secondary and DAB substrate. HIER: boil tissue sections in pH8 EDTA for 20 min and allow to cool before testing.
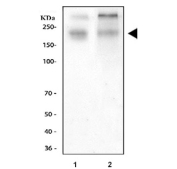
Western blot testing of 1) rat kidney and 2) mouse kidney tissue lysate with NKCC2 antibody. Predicted molecular weight ~121 kDa but may be observed at higher molecular weights due to glycosylation.
Availability 1-3 business days
Species Reactivity Human, Mouse, Rat
Format Antigen affinity purified
Clonality Polyclonal (rabbit origin)
Isotype Rabbit IgG
Purity Antigen affinity
Buffer Lyophilized from 1X PBS with 2% Trehalose
UniProt Q13621
Localization Cytoplasm, cell membrane
Applications Western Blot : 0.5-1ug/ml
Immunohistochemistry (FFPE) : 2-5ug/ml
Limitations This NKCC2 antibody is available for research use only.
Review this product on BioCompare and get a $20 Amazon gift card

Related Products

Description

NKCC2 (sodium-potassium-chloride cotransporter 2), encoded by the SLC12A1 gene, is an integral membrane protein that plays a critical role in renal ion transport. It is localized primarily in the thick ascending limb of Henle's loop in the kidney, where it mediates the reabsorption of sodium, potassium, and chloride ions from the tubular lumen. This process is essential for maintaining salt balance, generating the corticomedullary osmotic gradient, and regulating urine concentration. A NKCC2 antibody is widely used in studies of renal physiology, electrolyte transport, and blood pressure regulation.

NKCC2 is activated by phosphorylation and is sensitive to loop diuretics such as furosemide, which inhibit its function to promote salt and water excretion. Through its role in sodium reabsorption, NKCC2 is central to maintaining extracellular fluid volume and blood pressure. Employing a NKCC2 antibody allows researchers to analyze expression levels, regulatory mechanisms, and transporter activity under both normal and disease conditions.

Mutations in SLC12A1 are associated with Bartter syndrome type I, a rare autosomal recessive disorder characterized by defective salt reabsorption, hypokalemia, and metabolic alkalosis. NKCC2 dysregulation has also been implicated in hypertension and other renal pathologies. Investigating these links with a NKCC2 antibody provides insight into kidney function, pathophysiology, and therapeutic intervention.

NSJ Bioreagents provides a high-quality NKCC2 antibody validated for use in western blot, immunohistochemistry, and immunofluorescence. By selecting a NKCC2 antibody from NSJ Bioreagents, researchers gain a reliable tool for advancing studies in renal biology, ion transport, and disease modeling.

Application Notes

The stated application concentrations are suggested starting amounts. Titration of the NKCC2 antibody may be required due to differences in protocols and secondary/substrate sensitivity.

Immunogen

An amino acid sequence from the N-terminus of human SLC12A1/NKCC2 (KVNRPSLLEIHEQLA) was used as the immunogen for this NKCC2 antibody.

Storage

After reconstitution, the NKCC2 antibody can be stored for up to one month at 4oC. For long-term, aliquot and store at -20oC. Avoid repeated freezing and thawing.

Cross
Bulk Quote Request Form
Name*:
Organization*:
Email*:
Phone Number*:
Catalog No.*:
Comments and Specifics(amount, formulation, etc.)*:
Validation code: Captchapackage Image


Can't read the image? click here to refresh.
    *required field

Your bulk quote request has been submitted successfully!

Please contact us if you have any questions.