• Tel: 858.663.9055
  • SeparatorEmail: info@nsjbio.com
  • Tel: 858.663.9055
  • Email: info@nsjbio.com
Home >> Antibodies >> Niemann Pick C2 Antibody / NPC2

Niemann Pick C2 Antibody / NPC2 (RQ5652)

  Catalog No Formulation Size Price (USD)  
Image RQ5652 0.5mg/ml if reconstituted with 0.2ml sterile DI water 100 ug 439
Bulk quote request
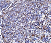
IHC staining of FFPE human tonsil with Niemann Pick C2 antibody. HIER: boil tissue sections in pH8 EDTA for 20 min and allow to cool before testing.
IHC staining of FFPE mouse spleen with Niemann Pick C2 antibody. HIER: boil tissue sections in pH8 EDTA for 20 min and allow to cool before testing.
Immunofluorescent staining of FFPE human A431 cells with Niemann Pick C2 antibody (green) and DAPI nuclear stain (blue). HIER: steam section in pH6 citrate buffer for 20 min.
Western blot testing of 1) human PC-3, 2) rat kidney and 3) mouse kidney lysate with Niemann Pick C2 antibody. Predicted molecular weight: ~17 kDa, can be observed as a ~21/23 kDa doublet in some samples.
Flow cytometry testing of human HepG2 cells with Niemann Pick C2 antibody at 1ug/million cells (blocked with goat sera); Red=cells alone, Green=isotype control, Blue= Niemann Pick C2 antibody.
Availability 1-3 business days
Species Reactivity Human, Mouse, Rat
Format Antigen affinity purified
Clonality Polyclonal
Isotype Rabbit IgG
Purity Affinity purified
Buffer Lyophilized from 1X PBS with 2% Trehalose and 0.025% sodium azide
UniProt P61916
Applications Western Blot : 0.5-1ug/ml
Immunohistochemistry : 1-2ug/ml
Immunofluorescence : 2-4ug/ml
Flow Cytometry : 1-3ug/million cells
Direct ELISA : 0.1-0.5ug/ml
Limitations This Niemann Pick C2 antibody is available for research use only.
Review this product on BioCompare and get a $20 Amazon gift card

Related Products

Description

Epididymal secretory protein E1 (also called NPC intracellular cholesterol transporter 2, or NPC2) is a protein associated with Niemann-Pick disease, type C. It is mapped to 14q24.3. This gene encodes a protein containing a lipid recognition domain. The encoded protein may function in regulating the transport of cholesterol through the late endosomal/lysosomal system. Mutations in this gene have been associated with Niemann-Pick disease, type C2 and frontal lobe atrophy.

Application Notes

Optimal dilution of the Niemann Pick C2 antibody should be determined by the researcher.

Immunogen

Recombinant human protein (amino acids E20-L151) was used as the immunogen for the Niemann Pick C2 antibody.

Storage

After reconstitution, the Niemann Pick C2 antibody can be stored for up to one month at 4oC. For long-term, aliquot and store at -20oC. Avoid repeated freezing and thawing.

Cross
Bulk Quote Request Form
Name*:
Organization*:
Email*:
Phone Number*:
Catalog No.*:
Comments and Specifics(amount, formulation, etc.)*:
Validation code: Captchapackage Image


Can't read the image? click here to refresh.
    *required field

Your bulk quote request has been submitted successfully!

Please contact us if you have any questions.