• Tel: 858.663.9055
  • SeparatorEmail: info@nsjbio.com
  • Tel: 858.663.9055
  • Email: info@nsjbio.com
Home >> Antibodies >> NID1 Antibody / Nidogen 1 / Entactin

NID1 Antibody / Nidogen 1 / Entactin (FY12331)

  Catalog No Formulation Size Price (USD)  
Image FY12331 Adding 0.2 ml of distilled water will yield a concentration of 500 ug/ml 100 ug 439
Bulk quote request
Immunofluorescent staining of NID1 using anti-NID1 antibody (red). NID1 was detected in a paraffin-embedded section of human breast cancer tissue. Heat mediated antigen retrieval was performed in EDTA buffer (pH 8.0, epitope retrieval solution). The tissue section was blocked with 10% goat serum. The tissue section was then incubated with 5 ug/ml rabbit anti-NID1 antibody overnight at 4oC. Cy3 Conjugated Goat Anti-Rabbit IgG was used as secondary antibody at 1:500 dilution and incubated for 30 minutes at 37oC. The section was counterstained with DAPI nuclear stain (blue). Visualize using a fluorescence microscope and filter sets appropriate for the label used.
Western blot analysis of NID1 using anti-NID1 antibody. Electrophoresis was performed on a 8% SDS-PAGE gel at 80V (Stacking gel) / 120V (Resolving gel) for 2 hours. Lane 1: human HepG2 whole cell lysates, Lane 2: human THP-1 whole cell lysates, Lane 3: human 293T whole cell lysates, Lane 4: mouse heart tissue lysates. After electrophoresis, proteins were transferred to a nitrocellulose membrane at 150 mA for 50-90 minutes. Blocked the membrane with 5% non-fat milk/TBS for 1.5 hour at RT. The membrane was incubated with rabbit anti-NID1 antibody at 0.5 ug/ml overnight at 4oC, then washed with TBS-0.1%Tween 3 times with 5 minutes each and probed with a goat anti-rabbit IgG-HRP secondary antibody at a dilution of 1:5000 for 1.5 hour at RT. The signal was developed using an ECL Plus Western Blotting Substrate. The expected molecular weight of NID1 is ~136 kDa but often observed at ~150 kDa due to glycosylation / ECM localization / protein domain complexity.
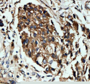
Immunohistochemical staining of NID1 using anti-NID1 antibody. NID1 was detected in a paraffin-embedded section of human breast cancer tissue. Heat mediated antigen retrieval was performed in EDTA buffer (pH 8.0, epitope retrieval solution). The tissue section was blocked with 10% goat serum. The tissue section was then incubated with 2 ug/ml rabbit anti-NID1 antibody overnight at 4oC. Peroxidase Conjugated Goat Anti-rabbit IgG was used as secondary antibody and incubated for 30 minutes at 37oC. The tissue section was developed using an HRP secondary and DAB substrate.
Flow Cytometry analysis of HepG2 cells using anti-NID1 antibody. Overlay histogram showing HepG2 cells stained with (Blue line). The cells were fixed with 4% paraformaldehyde and blocked with 10% normal goat serum. And then incubated with rabbit anti-NID1 antibody (1 ug/million cells) for 30 min at 20oC. DyLight 488 conjugated goat anti-rabbit IgG (5-10 ug/million cells) was used as secondary antibody for 30 minutes at 20oC. Isotype control antibody (Green line) was rabbit IgG (1 ug/million cells) used under the same conditions. Unlabelled sample without incubation with primary antibody and secondary antibody (Red line) was used as a blank control.
Availability 1-2 days
Species Reactivity Human, Mouse
Format Lyophilized
Clonality Polyclonal (rabbit origin)
Isotype Rabbit IgG
Purity Immunogen affinity purified
Buffer Each vial contains 4 mg Trehalose, 0.9 mg NaCl, 0.2 mg Na2HPO4.
UniProt P14543
Applications Western Blot : 0.25-0.5ug/ml
Immunohistochemistry : 2-5ug/ml
Immunofluorescence : 5ug/ml
Flow Cytometry : 1-3ug/million cells
ELISA : 0.1-0.5ug/ml
Limitations This NID1 antibody is available for research use only.
Review this product on BioCompare and get a $20 Amazon gift card

Description

NID1 antibody is used to study Nidogen 1, also known as Entactin, a key basement membrane linker that bridges laminin networks with collagen IV scaffolds to establish tissue architecture and mechanical stability. As a secreted glycoprotein with multiple binding modules, Nidogen 1 connects laminin gamma chains to collagen IV and perlecan, organizing a resilient sheet that supports epithelial polarity, filtration barriers, and neuromuscular junctions. Through these interactions, the protein shapes morphogenesis, angiogenesis, and repair, and it helps buffer tissues against mechanical stress.

Nidogen 1 contains globular domains separated by flexible segments that adapt to different extracellular partners. Its localization along the basement membrane enables crosstalk between matrix and cells, influencing receptor signaling through integrins and dystroglycan. Depletion in animal models disrupts organogenesis and compromises barrier function in kidney and vasculature, highlighting the protein's structural and signaling roles. Because matrix composition tunes growth factor availability, Nidogen 1 also contributes to gradient formation and ligand presentation within tissue microenvironments.

Researchers use NID1 antibody / Entactin in immunohistochemistry to delineate basement membranes in skin, kidney, lung, and tumor samples, providing clear borders for morphometric analyses and pathology scoring. In immunoblotting, the reagent tracks expression during development or matrix remodeling, while immunofluorescence co-localization with laminin and collagen IV reveals network integrity and continuity. In vitro, combining the antibody with matrix assembly assays clarifies how Nidogen 1 scaffolds influence cell adhesion, migration, and polarity under defined conditions.

The NID1 antibody / Entactin from NSJ Bioreagents performs reliably in tissue sections and cultured cells, enabling teams to standardize basement membrane visualization across experiments and sample types. By pairing matrix mapping with transcriptomics or proteomics, investigators can connect changes in Nidogen 1 to shifts in epithelial organization, vascular stability, and tumor-stroma interplay, thereby linking structural cues to functional outcomes in both physiology and disease.

Application Notes

Optimal dilution of the NID1 antibody should be determined by the researcher.

Immunogen

E.coli-derived human Entactin/NID1 recombinant protein (Position: R31-H1209) was used as the immunogen for the NID1 antibody.

Storage

After reconstitution, the NID1 antibody can be stored for up to one month at 4oC. For long-term, aliquot and store at -20oC. Avoid repeated freezing and thawing.

Cross
Bulk Quote Request Form
Name*:
Organization*:
Email*:
Phone Number*:
Catalog No.*:
Comments and Specifics(amount, formulation, etc.)*:
Validation code: Captchapackage Image


Can't read the image? click here to refresh.
    *required field

Your bulk quote request has been submitted successfully!

Please contact us if you have any questions.