• Tel: 858.663.9055
  • SeparatorEmail: info@nsjbio.com
  • Tel: 858.663.9055
  • Email: info@nsjbio.com
Home >> Antibodies >> NHERF1 Antibody / SLC9A3R1 / EBP50

NHERF1 Antibody / SLC9A3R1 / EBP50 [clone IIH-19] (RQ4707)

  Catalog No Formulation Size Price (USD)  
Image RQ4707 Antibody in PBS with 0.02% sodium azide, 50% glycerol and 0.4-0.5mg/ml BSA 100 ul 439
Microvalidated Rab Mono Image
Bulk quote request
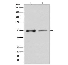
Western blot testing of human HepG2 (left) and rat PC-12 (right) lysate with NHERF1 antibody. Predicted molecular weight ~38 kDa but routinley observed at ~50 kDa.
Availability 1-2 weeks
Species Reactivity Human, Rat
Format Purified
Clonality Rabbit Monoclonal
Isotype Rabbit IgG
Clone Name IIH-19
Purity Affinity purified
UniProt O14745
Applications Western Blot : 1:500-1:2000
Limitations This NHERF1 antibody is available for research use only.
Review this product on BioCompare and get a $20 Amazon gift card

Description

The SLC9A3R1 gene encodes a sodium/hydrogen exchanger regulatory cofactor. Na(+)/H(+) exchange regulatory cofactor NHE-RF1 (also called SLC9A3 regulator 1 and Ezrin-radixin-moesin-binding phosphoprotein 50) interacts with and regulates various proteins including the cystic fibrosis transmembrane conductance regulator and G-protein coupled receptors such as the beta2-adrenergic receptor and the parathyroid hormone 1 receptor. The protein also interacts with proteins that function as linkers between integral membrane and cytoskeletal proteins. The protein localizes to actin-rich structures including membrane ruffles, microvilli, and filopodia. Mutations in this gene result in hypophosphatemic nephrolithiasis/osteoporosis type 2, and loss of heterozygosity of this gene is implicated in breast cancer. [RefSeq]

Application Notes

Optimal dilution of the NHERF1 antibody should be determined by the researcher.

Immunogen

A synthetic peptide specific to human NHERF1 was used as the immunogen for the NHERF1 antibody.

Storage

Store the NHERF1 antibody at -20oC.

Cross
Bulk Quote Request Form
Name*:
Organization*:
Email*:
Phone Number*:
Catalog No.*:
Comments and Specifics(amount, formulation, etc.)*:
Validation code: Captchapackage Image


Can't read the image? click here to refresh.
    *required field

Your bulk quote request has been submitted successfully!

Please contact us if you have any questions.