- Tel: 858.663.9055
- 
									 Email: info@nsjbio.com Email: info@nsjbio.com
- Tel: 858.663.9055
- Email: info@nsjbio.com
 Email: info@nsjbio.com
Email: info@nsjbio.com
								Related Products
| 
 | 
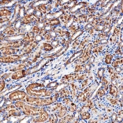
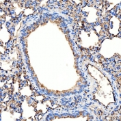
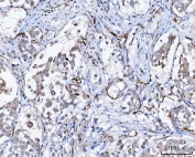
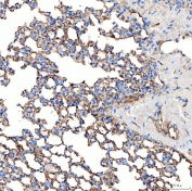
Sodium-hydrogen exchange regulatory cofactor NHE-RF2 (NHERF-2) also known as tyrosine kinase activator protein 1 (TKA-1) or SRY-interacting protein 1 (SIP-1) is a protein that in humans is encoded by the SLC9A3R2 (solute carrier family 9 isoform A3 regulatory factor 2) gene. This gene encodes a member of the NHERF family of PDZ scaffolding proteins. These proteins mediate many cellular processes by binding to and regulating the membrane expression and protein-protein interactions of membrane receptors and transport proteins. The encoded protein plays a role in intestinal sodium absorption by regulating the activity of the sodium/hydrogen exchanger 3, and may also regulate the cystic fibrosis transmembrane regulator (CFTR) ion channel. Alternatively spliced transcript variants encoding multiple isoforms have been observed for this gene.
Optimal dilution of the NHERF-2 antibody should be determined by the researcher.
E. coli-derived recombinant human protein (amino acids M1-Q324) was used as the immunogen for the NHERF-2 antibody.
After reconstitution, the NHERF-2 antibody can be stored for up to one month at 4oC. For long-term, aliquot and store at -20oC. Avoid repeated freezing and thawing.
 
Your bulk quote request has been submitted successfully!
Please contact us if you have any questions.