• Tel: 858.663.9055
  • SeparatorEmail: info@nsjbio.com
  • Tel: 858.663.9055
  • Email: info@nsjbio.com
Home >> Antibodies >> NGN3 Antibody / Neurogenin 3

NGN3 Antibody / Neurogenin 3 (F54290)

  Catalog No Formulation Size Price (USD)  
Image F54290-0.4ML In 1X PBS, pH 7.4, with 0.09% sodium azide 0.4 ml 429
Image
F54290-0.08ML In 1X PBS, pH 7.4, with 0.09% sodium azide 0.08 ml 199
Bulk quote request
Western blot testing of human placenta lysate with NGN3 antibody. Predicted molecular weight ~23 kDa.
Western blot testing of human ThP-1 cell lysate with NGN3 antibody. Predicted molecular weight ~23 kDa.
Western blot testing of human 1) DU145, 2) LNCaP, 3) PANC1 and 4) PC-3 cell lysate with NGN3 antibody. Predicted molecular weight ~23 kDa.
Immunofluorescent staining of fixed and permeabilized human NCI-H460 cells with NGN3 antibody (green) and DAPI nuclear stain (blue).
IHC testing of FFPE human small intestine tissue with NGN3 antibody. HIER: steam section in pH6 citrate buffer for 20 min and allow to cool prior to staining.
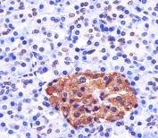
IHC testing of FFPE human pancreas tissue with NGN3 antibody. HIER: steam section in pH6 citrate buffer for 20 min and allow to cool prior to staining.
Availability 1-3 business days
Species Reactivity Human, Mouse
Format Purified
Clonality Polyclonal (rabbit origin)
Isotype Rabbit Ig
Purity Antigen affinity purified
UniProt Q9Y4Z2
Applications Western Blot : 1:500-1:2000
Immunohistochemistry (FFPE) : 1:25
Immunofluorescence : 1:25
Limitations This NGN3 antibody is available for research use only.
Review this product on BioCompare and get a $20 Amazon gift card

Related Products

Description

Neurogenin-3 belongs to a family of basic helix-loop-helix transcription factors involved in the determination of neural precursor cells in the neuroectoderm. Neurogenin-3 also required for the specification of a common precursor of the 4 pancreatic endocrine cell types. Defects in NEUROG3 are the cause of congenital malabsorptive diarrhea 4 (DIAR4). DIAR4 is an autosomal recessive disorder characterized by generalized malabsorption and a paucity of enteroendocrine cells.

Application Notes

The stated application concentrations are suggested starting points. Titration of the NGN3 antibody may be required due to differences in protocols and secondary/substrate sensitivity.

Immunogen

A portion of amino acids 40-69 from the human protein were used as the immunogen for the NGN3 antibody.

Storage

Aliquot the NGN3 antibody and store frozen at -20oC or colder. Avoid repeated freeze-thaw cycles.

Cross
Bulk Quote Request Form
Name*:
Organization*:
Email*:
Phone Number*:
Catalog No.*:
Comments and Specifics(amount, formulation, etc.)*:
Validation code: Captchapackage Image


Can't read the image? click here to refresh.
    *required field

Your bulk quote request has been submitted successfully!

Please contact us if you have any questions.