• Tel: 858.663.9055
  • SeparatorEmail: info@nsjbio.com
  • Tel: 858.663.9055
  • Email: info@nsjbio.com
Home >> Antibodies >> Nfkbie Antibody / IKB epsilon

Nfkbie Antibody / IKB epsilon (RQ7378)

  Catalog No Formulation Size Price (USD)  
Image RQ7378 0.5mg/ml if reconstituted with 0.2ml sterile DI water 100 ug 439
Bulk quote request
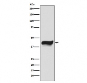
Western blot testing of mouse spleen tissue lysate with Nfkbie antibody. Expected molecular weight: 38-53 kDa.
Availability 1-3 business days
Species Reactivity Mouse
Format Antigen affinity purified
Clonality Polyclonal (rabbit origin)
Isotype Rabbit IgG
Purity Antigen affinity purified
Buffer Lyophilized from 1X PBS with 2% Trehalose
UniProt O54910
Applications Western Blot : 0.5-1ug/ml
Direct ELISA : 0.1-0.5ug/ml
Limitations This Nfkbie antibody is available for research use only.
Review this product on BioCompare and get a $20 Amazon gift card

Related Products

Description

Nuclear factor of kappa light polypeptide gene enhancer in B-cells inhibitor, epsilon, also known as NFKBIE, is a protein which in humans is encoded by the NFKBIE gene. Predicted to be involved in D-serine transport. Predicted to act upstream of or within negative regulation of transcription, DNA-templated. Predicted to be located in several cellular components, including Golgi apparatus; nuclear lumen; and perinuclear region of cytoplasm. Is expressed in several structures, including central nervous system; dorsal root ganglion; eye; genitourinary system; and thymus. Orthologous to human NFKBIE (NFKB inhibitor epsilon).

Application Notes

Optimal dilution of the Nfkbie antibody should be determined by the researcher.

Immunogen

Recombinant mouse protein (amino acids Q111-D364) was used as the immunogen for the Nfkbie antibody.

Storage

After reconstitution, the Nfkbie antibody can be stored for up to one month at 4oC. For long-term, aliquot and store at -20oC. Avoid repeated freezing and thawing.

Cross
Bulk Quote Request Form
Name*:
Organization*:
Email*:
Phone Number*:
Catalog No.*:
Comments and Specifics(amount, formulation, etc.)*:
Validation code: Captchapackage Image


Can't read the image? click here to refresh.
    *required field

Your bulk quote request has been submitted successfully!

Please contact us if you have any questions.