• Tel: 858.663.9055
  • SeparatorEmail: info@nsjbio.com
  • Tel: 858.663.9055
  • Email: info@nsjbio.com
Home >> Antibodies >> NFIX Antibody / Nuclear factor 1 X-type / CTF

NFIX Antibody / Nuclear factor 1 X-type / CTF (RQ8131)

  Catalog No Formulation Size Price (USD)  
Image RQ8131 0.5mg/ml if reconstituted with 0.2ml sterile DI water 100 ug 439
Bulk quote request
Immunofluorescent staining of FFPE human A549 cells with NFIX antibody (red) and DAPI nuclear stain (blue). HIER: steam section in pH6 citrate buffer for 20 min.
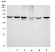
Western blot testing of 1) human HeLa, 2) human A549, 3) human U-251, 4) human PC-3, 5) rat brain and 6) mouse brain tissue lysate with NFIX antibody. Predicted molecular weight ~55 kDa.
Flow cytometry testing of fixed and permeabilized human U-2 OS cells with NFIX antibody at 1ug/million cells (blocked with goat sera); Red=cells alone, Green=isotype control, Blue= NFIX antibody.
Availability 1-3 business days
Species Reactivity Human, Mouse, Rat
Format Antigen affinity purified
Clonality Polyclonal (rabbit origin)
Isotype Rabbit IgG
Purity Antigen affinity purified
Buffer Lyophilized from 1X PBS with 2% Trehalose
UniProt Q14938
Localization Nuclear
Applications Western Blot : 0.5-1ug/ml
Immunofluorescence : 5ug/ml
Flow Cytometry : 1-3ug/million cells
Direct ELISA : 0.1-0.5ug/ml
Limitations This NFIX antibody is available for research use only.
Review this product on BioCompare and get a $20 Amazon gift card

Description

Nuclear factor 1 X-type, also called CCAAT-box-binding transcription factor (CTF) is a protein that in humans is encoded by the NFIX gene. The protein encoded by this gene is a transcription factor that binds the palindromic sequence 5'-TTGGCNNNNNGCCAA-3 in viral and cellular promoters. The encoded protein can also stimulate adenovirus replication in vitro. Three transcript variants encoding different isoforms have been found for this gene.

Application Notes

Optimal dilution of the NFIX antibody should be determined by the researcher.

Immunogen

E. coli-derived recombinant human protein (amino acids A246-D410) was used as the immunogen for the NFIX antibody.

Storage

After reconstitution, the NFIX antibody can be stored for up to one month at 4oC. For long-term, aliquot and store at -20oC. Avoid repeated freezing and thawing.

Cross
Bulk Quote Request Form
Name*:
Organization*:
Email*:
Phone Number*:
Catalog No.*:
Comments and Specifics(amount, formulation, etc.)*:
Validation code: Captchapackage Image


Can't read the image? click here to refresh.
    *required field

Your bulk quote request has been submitted successfully!

Please contact us if you have any questions.