• Tel: 858.663.9055
  • SeparatorEmail: info@nsjbio.com
  • Tel: 858.663.9055
  • Email: info@nsjbio.com
Home >> Antibodies >> NFIC Antibody / CTF

NFIC Antibody / CTF (RQ5664)

  Catalog No Formulation Size Price (USD)  
Image RQ5664 0.5mg/ml if reconstituted with 0.2ml sterile DI water 100 ug 439
Bulk quote request
Immunofluorescent staining of FFPE human intestinal cancer with NFIC antibody (red) and DAPI nuclear stain (blue). HIER: steam section in pH6 citrate buffer for 20 min.
Immunofluorescent staining of FFPE mouse skeletal muscle with NFIC antibody (red) and DAPI nuclear stain (blue). HIER: steam section in pH6 citrate buffer for 20 min.
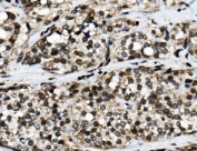
IHC staining of FFPE human pancreatic cancer with NFIC antibody. HIER: boil tissue sections in pH8 EDTA for 20 min and allow to cool before testing.
IHC staining of FFPE mouse skeletal muscle with NFIC antibody. HIER: boil tissue sections in pH8 EDTA for 20 min and allow to cool before testing.
IHC staining of FFPE rat pancreas with NFIC antibody. HIER: boil tissue sections in pH8 EDTA for 20 min and allow to cool before testing.
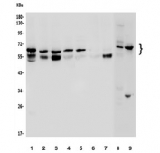
Western blot testing of human 1) HeLa, 2) U-2 OS, 3) T-47D, 4) PC-3, 5) HepG2, 6) A431, 7) Caco-2, 8) rat skeletal muscle and 9) mouse RAW264.7 lysate with NFIC antibody. Expected molecular weight: 49-74 kDa (isoforms).
Availability 1-3 business days
Species Reactivity Human, Mouse, Rat
Format Antigen affinity purified
Clonality Polyclonal
Isotype Rabbit IgG
Purity Affinity purified
Buffer Lyophilized from 1X PBS with 2% Trehalose and 0.025% sodium azide
UniProt P08651
Localization Nuclear
Applications Western Blot : 0.5-1ug/ml
Immunohistochemistry : 1-2ug/ml
Immunofluorescence : 2-4ug/ml
Flow Cytometry : 1-3ug/million cells
Direct ELISA : 0.1-0.5ug/ml
Limitations This NFIC antibody is available for research use only.
Review this product on BioCompare and get a $20 Amazon gift card

Description

Nuclear factor 1 C-type is a protein that in humans is encoded by the NFIC gene. It is mapped to 19p13.3. The protein encoded by this gene belongs to the CTF/NF-I family. These are dimeric DNA-binding proteins, and function as cellular transcription factors and as replication factors for adenovirus DNA replication. Alternatively spliced transcript variants encoding different isoforms have been described for this gene.

Application Notes

Optimal dilution of the NFIC antibody should be determined by the researcher.

Immunogen

Recombinant human protein (amino acids D215-G508) was used as the immunogen for the NFIC antibody.

Storage

After reconstitution, the NFIC antibody can be stored for up to one month at 4oC. For long-term, aliquot and store at -20oC. Avoid repeated freezing and thawing.

Cross
Bulk Quote Request Form
Name*:
Organization*:
Email*:
Phone Number*:
Catalog No.*:
Comments and Specifics(amount, formulation, etc.)*:
Validation code: Captchapackage Image


Can't read the image? click here to refresh.
    *required field

Your bulk quote request has been submitted successfully!

Please contact us if you have any questions.