• Tel: 858.663.9055
  • SeparatorEmail: info@nsjbio.com
  • Tel: 858.663.9055
  • Email: info@nsjbio.com
Home >> Antibodies >> NFIB Antibody / Nuclear factor 1 B-type

NFIB Antibody / Nuclear factor 1 B-type (RQ4312)

  Catalog No Formulation Size Price (USD)  
Image RQ4312 0.5mg/ml if reconstituted with 0.2ml sterile DI water 100 ug 439
Bulk quote request
Western blot testing of 1) human HeLa, 2) rat PC-12, 3) mouse lung, 4) mouse ovary and 5) mouse HEPA1-6 lysate with NFIB antibody at 0.5ug/ml. Predicted molecular weight ~47 kDa.
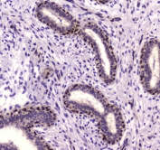
IHC testing of FFPE human breast cancer tissue with NFIB antibody at 1ug/ml. Required HIER: steam section in pH6 citrate buffer for 20 min and allow to cool prior to staining.
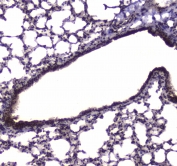
IHC testing of FFPE mouse lung tissue with NFIB antibody at 1ug/ml. Required HIER: steam section in pH6 citrate buffer for 20 min and allow to cool prior to staining.
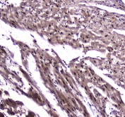
IHC testing of FFPE rat heart tissue with NFIB antibody at 1ug/ml. Required HIER: steam section in pH6 citrate buffer for 20 min and allow to cool prior to staining.
Availability 1-3 business days
Species Reactivity Human, Mouse, Rat
Format Antigen affinity purified
Clonality Polyclonal (rabbit origin)
Isotype Rabbit IgG
Purity Antigen affinity purified
Buffer Lyophilized from 1X PBS with 2% Trehalose and 0.025% sodium azide
UniProt O00712
Localization Nucleus
Applications Western Blot : 0.5-1ug/ml
IHC (FFPE) : 1-2ug/ml
Limitations This NFIB antibody is available for research use only.
Review this product on BioCompare and get a $20 Amazon gift card

Related Products

Description

Recognizes and binds the palindromic sequence 5'-TTGGCNNNNNGCCAA-3' present in viral and cellular promoters and in the origin of replication of adenovirus type 2. These proteins are individually capable of activating transcription and replication. [UniProt]

Application Notes

Optimal dilution of the NFIB antibody should be determined by the researcher.

Immunogen

Amino acids ELVRVSRTPITQGTGVNFPIGEIPSQPYYHDMNSGVNLQR were used as the immunogen for the NFIB antibody.

Storage

After reconstitution, the NFIB antibody can be stored for up to one month at 4oC. For long-term, aliquot and store at -20oC. Avoid repeated freezing and thawing.

Cross
Bulk Quote Request Form
Name*:
Organization*:
Email*:
Phone Number*:
Catalog No.*:
Comments and Specifics(amount, formulation, etc.)*:
Validation code: Captchapackage Image


Can't read the image? click here to refresh.
    *required field

Your bulk quote request has been submitted successfully!

Please contact us if you have any questions.