• Tel: 858.663.9055
  • SeparatorEmail: info@nsjbio.com
  • Tel: 858.663.9055
  • Email: info@nsjbio.com
Home >> Antibodies >> NFIA Antibody / Nuclear factor 1 A-type

NFIA Antibody / Nuclear factor 1 A-type (R32548)

  Catalog No Formulation Size Price (USD)  
Image R32548 0.5mg/ml if reconstituted with 0.2ml sterile DI water 100 ug 439
Bulk quote request
IHC staining of FFPE mouse brain tissue with NFIA antibody, HRP-secondary and DAB substrate. HIER: boil tissue sections in pH8 EDTA for 20 min and allow to cool before testing.
IHC staining of FFPE rat brain tissue with NFIA antibody, HRP-secondary and DAB substrate. HIER: boil tissue sections in pH8 EDTA for 20 min and allow to cool before testing.
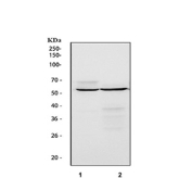
Western blot testing of 1) human MCF7 and 2) rat liver tissue lyste with NFIA antibody. Predicted molecular weight ~56 kDa (unmodified), 60-70 kDa (phosphorylated).
Flow cytometry testing of fixed and permeabilized human MCF7 cells with NFIA antibody at 1ug/10^6 cells (blocked with goat sera); Red=cells alone, Green=isotype control, Blue=NFIA antibody.
Availability 1-3 business days
Species Reactivity Human, Mouse, Rat
Format Antigen affinity purified
Clonality Polyclonal (rabbit origin)
Isotype Rabbit IgG
Purity Antigen affinity
Buffer Lyophilized from 1X PBS with 2% Trehalose
UniProt Q12857
Localization Nuclear
Applications Western Blot : 0.5-1ug/ml
Immunohistochemistry (FFPE) : 2-5ug/ml
Flow Cytometry : 1-3ug/million cells
Limitations This NFIA antibody is available for research use only.
Review this product on BioCompare and get a $20 Amazon gift card

Related Products

Description

NFIA (Nuclear factor 1 A-type) is a transcription factor belonging to the nuclear factor I family, which binds specific DNA sequences to regulate gene expression during development and differentiation. NFIA functions as both a transcriptional activator and repressor and is involved in diverse biological processes, including glial cell development, organogenesis, and regulation of metabolic genes.

NFIA is highly expressed in the developing central nervous system, particularly in astrocyte and oligodendrocyte lineages, and it plays a pivotal role in the transition of neural stem cells toward glial fates. It also contributes to transcriptional regulation in other tissues, including kidney, lung, and liver, making it a widely studied marker in developmental biology and gene regulatory network research.

The NFIA antibody is a valuable tool for detecting endogenous NFIA in applications such as western blot, immunohistochemistry, and immunofluorescence. Researchers use the NFIA antibody from NSJ Bioreagents to assess protein expression, determine subcellular localization, and study NFIA’s role in lineage specification and transcriptional regulation. With high specificity and consistent performance, the NFIA antibody supports detailed investigations into neurodevelopment, transcription factor function, and cellular differentiation pathways.

Application Notes

Differences in protocols and secondary/substrate sensitivity may require the NFIA antibody to be titrated for optimal performance.

Immunogen

Amino acids 180-224 (AYFVHAADSSQSESPSQPSDADIKDQPENGHLGFQDSFVTSGVFS) from the human protein were used as the immunogen for the NFIA antibody.

Storage

After reconstitution, the NFIA antibody can be stored for up to one month at 4oC. For long-term, aliquot and store at -20oC. Avoid repeated freezing and thawing.

Cross
Bulk Quote Request Form
Name*:
Organization*:
Email*:
Phone Number*:
Catalog No.*:
Comments and Specifics(amount, formulation, etc.)*:
Validation code: Captchapackage Image


Can't read the image? click here to refresh.
    *required field

Your bulk quote request has been submitted successfully!

Please contact us if you have any questions.