• Tel: 858.663.9055
  • SeparatorEmail: info@nsjbio.com
  • Tel: 858.663.9055
  • Email: info@nsjbio.com
Home >> Antibodies >> NFIA Antibody

NFIA Antibody [clone 16H11] (RQ4923)

  Catalog No Formulation Size Price (USD)  
Image RQ4923 0.5mg/ml if reconstituted with 0.2ml sterile DI water 100 ug 439
Bulk quote request
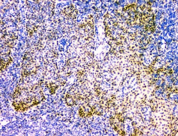
IHC staining of FFPE human tonsil with NFIA antibody. HIER: boil tissue sections in pH8 EDTA for 20 min and allow to cool before testing.
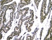
IHC staining of FFPE human intestinal cancer with NFIA antibody. HIER: boil tissue sections in pH8 EDTA for 20 min and allow to cool before testing.
IHC staining of FFPE human intestinal cancer with NFIA antibody. HIER: boil tissue sections in pH8 EDTA for 20 min and allow to cool before testing.
Immunofluorescent staining of FFPE human A431 cells with NFIA antibody (green) and DAPI nuclear stain (blue). HIER: steam section in pH6 citrate buffer for 20 min.
Western blot testing of human 1) HeLa and 2) HEK293 lysate with NFIA antibody. Expected molecular weight ~56 kDa (unmodified), 60-70 kDa (phosphorylated).
Flow cytometry testing of human U-2 OS cells with NFIA antibody at 1ug/million cells (blocked with goat sera); Red=cells alone, Green=isotype control, Blue= NFIA antibody.
Availability 1-3 business days
Species Reactivity Human
Format Purified
Clonality Monoclonal (mouse origin)
Isotype Mouse IgG2b
Clone Name 16H11
Purity Purified
Buffer Lyophilized from 1X PBS with 2% Trehalose and 0.025% sodium azide
UniProt Q12857
Applications Western Blot : 0.5-1ug/ml
Immunohistochemistry (FFPE) : 1-2ug/ml
Flow Cytometry : 1-3ug/10^6 cells
Immunofluorescence : 2-4ug/ml
Limitations This NFIA antibody is available for research use only.
Review this product on BioCompare and get a $20 Amazon gift card

Related Products

Description

Nuclear factor 1 A-type is a protein that in humans is encoded by the NFIA gene. Nuclear factor I (NFI) proteins constitute a family of dimeric DNA-binding proteins with similar, and possibly identical, DNA-binding specificity. They function as cellular transcription factors and as replication factors for adenovirus DNA replication. Diversity in this protein family is generated by multiplegenes, differential splicing, and heterodimerization.

Application Notes

Optimal dilution of the NFIA antibody should be determined by the researcher.

Immunogen

Amino acids AYFVHAADSSQSESPSQPSDADIKDQPENGHLGFQDSFVTSGVFS from the human protein were used as the immunogen for the NFIA antibody.

Storage

After reconstitution, the NFIA antibody can be stored for up to one month at 4oC. For long-term, aliquot and store at -20oC. Avoid repeated freezing and thawing.

Cross
Bulk Quote Request Form
Name*:
Organization*:
Email*:
Phone Number*:
Catalog No.*:
Comments and Specifics(amount, formulation, etc.)*:
Validation code: Captchapackage Image


Can't read the image? click here to refresh.
    *required field

Your bulk quote request has been submitted successfully!

Please contact us if you have any questions.