• Tel: 858.663.9055
  • SeparatorEmail: info@nsjbio.com
  • Tel: 858.663.9055
  • Email: info@nsjbio.com
Home >> Antibodies >> NFE2 Antibody / Nuclear factor erythroid 2

NFE2 Antibody / Nuclear factor erythroid 2 [clone 31N33] (FY12867)

  Catalog No Formulation Size Price (USD)  
Image FY12867 Rabbit IgG in phosphate buffered saline, pH 7.4, 150mM NaCl, 0.02% sodium azide and 50% glycerol, 0.4-0.5mg/ml BSA 100 ul 439
Microvalidated Recrabbitmono
Bulk quote request
Western blot testing using the NFE2 antibody at 1:2000 dilution for 1 hour at room temperature. Predicted molecular weight ~41 kDa, observed at 41-45 kDa.
Western blot testing of rat liver tissue lysate using the NFE2 antibody at 1:2000 dilution for 1 hour at room temperature. Predicted molecular weight ~41 kDa, observed at 41-45 kDa.
Immunofluorescent analysis using the NFE2 antibody at 1:50 dilution.
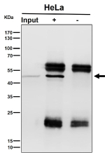
Western blot analysis of NFE2 expression in human K562 cell lysate using NFE2 antibody. Predicted molecular weight ~41 kDa, observed at 41-45 kDa.
Immunoprecipitation analysis using the NFE2 antibody at 1:50 dilution. Western blot at 1:1000 dilution.
Availability 2-3 weeks
Species Reactivity Human
Format Liquid
Clonality Recombinant Rabbit Monoclonal
Isotype Rabbit IgG
Clone Name 31N33
Purity Affinity chromatography
Buffer Rabbit IgG in phosphate buffered saline, pH 7.4, 150mM NaCl, 0.02% sodium azide and 50% glycerol, 0.4-0.5mg/ml BSA.
UniProt Q16621
Applications Western Blot : 1:500-1:2000
Immunohistochemistry : 1:50-1:200
Immunocytochemistry/Immunofluorescence : 1:50-1:200
Immunoprecipitation : 1:50
Limitations This NFE2 antibody is available for research use only.
Review this product on BioCompare and get a $20 Amazon gift card

Related Products

Description

NFE2 antibody targets Nuclear factor erythroid 2, a transcription factor encoded by the NFE2 gene. NFE2 belongs to the basic leucine zipper family and is composed of a heterodimer of a large DNA-binding subunit (p45) and a small subunit from the Maf protein family. This transcription factor plays a central role in the regulation of erythroid and megakaryocytic cell differentiation. NFE2 antibody provides an essential reagent for studying gene expression programs controlling hematopoiesis, oxidative stress responses, and platelet production.

The p45 subunit of NFE2 binds to antioxidant response elements and regulates transcription of genes involved in heme biosynthesis, hemoglobin assembly, and detoxification of reactive oxygen species. In megakaryocytes, NFE2 is required for proplatelet formation and platelet release. Detection of this factor using NFE2 antibody helps identify regulatory pathways that maintain normal blood development and function.

Mutations or dysregulation of NFE2 are implicated in hematological disorders, including myeloproliferative neoplasms. Overexpression of NFE2 has been reported in polycythemia vera and essential thrombocythemia, linking the transcription factor to abnormal erythrocyte and platelet production. Research employing NFE2 antibody has revealed roles in leukemogenesis and abnormal megakaryopoiesis. Because of these connections, NFE2 is studied as a potential therapeutic target in blood cancers.

NFE2 antibody can be applied in western blotting, immunohistochemistry, and electrophoretic mobility shift assays. Western blotting confirms protein expression in erythroid cell lines, while immunohistochemistry highlights tissue-specific nuclear localization. In gene regulation studies, chromatin immunoprecipitation with NFE2 antibody allows mapping of target promoters controlled by this transcription factor.

NFE2 is also relevant in oxidative stress research. Its regulation of antioxidant genes links it to cellular defense mechanisms against free radicals and environmental toxins. Researchers using NFE2 antibody can explore how transcriptional control intersects with oxidative signaling and stress adaptation. NSJ Bioreagents supports hematology and transcription factor research by providing validated antibodies against NFE2.

Application Notes

Optimal dilution of the NFE2 antibody should be determined by the researcher.

Immunogen

A synthesized peptide derived from human NFE2 was used as the immunogen for the NFE2 antibody.

Storage

Store the NFE2 antibody at -20oC.

Cross
Bulk Quote Request Form
Name*:
Organization*:
Email*:
Phone Number*:
Catalog No.*:
Comments and Specifics(amount, formulation, etc.)*:
Validation code: Captchapackage Image


Can't read the image? click here to refresh.
    *required field

Your bulk quote request has been submitted successfully!

Please contact us if you have any questions.