- Tel: 858.663.9055
- 
									 Email: info@nsjbio.com Email: info@nsjbio.com
- Tel: 858.663.9055
- Email: info@nsjbio.com
 Email: info@nsjbio.com
Email: info@nsjbio.com
								Related Products
| 
 | 
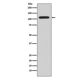
'Nuclear factor of activated T-cells, cytoplasmic 1' plays a role in the inducible expression of cytokine genes in T-cells, especially in the induction of the IL-2 or IL-4 gene transcription. Also controls gene expression in embryonic cardiac cells. Could regulate not only the activation and proliferation but also the differentiation and programmed death of T-lymphocytes as well as lymphoid and non-lymphoid cells. Required for osteoclastogenesis and regulates many genes important for osteoclast differentiation and function. [UniProt]
Optimal dilution of the NFAT2 antibody should be determined by the researcher.
A synthetic peptide specific to human NFAT2 / NFATC1 was used as the immunogen for the NFAT2 antibody.
Store the NFAT2 antibody at -20oC.
 
Your bulk quote request has been submitted successfully!
Please contact us if you have any questions.