• Tel: 858.663.9055
  • SeparatorEmail: info@nsjbio.com
  • Tel: 858.663.9055
  • Email: info@nsjbio.com
Home >> Antibodies >> Neuron Specific Enolase Antibody / NSE

Neuron Specific Enolase Antibody / NSE [clone ENO2/1462] (V3498)

  Catalog No Formulation Size Price (USD)  
Image V3498-100UG 0.2 mg/ml in 1X PBS with 0.1 mg/ml BSA (US sourced) and 0.05% sodium azide 100 ug 539
Image
V3498-20UG 0.2 mg/ml in 1X PBS with 0.1 mg/ml BSA (US sourced) and 0.05% sodium azide 20 ug 249
Image
V3498SAF-100UG 1 mg/ml in 1X PBS; BSA free, sodium azide free 100 ug 539
Image
V3498IHC-7ML Prediluted in 1X PBS with 0.1 mg/ml BSA (US sourced) and 0.05% sodium azide; *For IHC use only* 7 ml 539
Microvalidated
Bulk quote request
Protein array validation of the Neuron Specific Enolase antibody: Analysis of HuProt(TM) microarray containing more than 19,000 full-length human proteins using Neuron Specific Enolase antibody (clone ENO2/1462). These results demonstrate the foremost specificity of the ENO2/1462 mAb.
Z- and S- score: The Z-score represents the strength of a signal that an antibody (in combination with a fluorescently-tagged anti-IgG secondary Ab) produces when binding to a particular protein on the HuProt(TM) array. Z-scores are described in units of standard deviations (SD's) above the mean value of all signals generated on that array. If the targets on the HuProt(TM) are arranged in descending order of the Z-score, the S-score is the difference (also in units of SD's) between the Z-scores. The S-score therefore represents the relative target specificity of an Ab to its intended target.
IHC testing of FFPE human pheochromocytoma with Neuron Specific Enolase antibody (clone ENO2/1462). Required HIER: boil sections in 10mM citrate buffer, pH6, for 10-20 min.
IHC testing of FFPE mouse pancreas with Neuron Specific Enolase antibody (clone ENO2/1462). Required HIER: boil sections in 10mM citrate buffer, pH6, for 10-20 min.
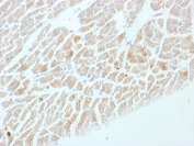
IHC testing of FFPE rat heart with Neuron Specific Enolase antibody (clone ENO2/1462). Required HIER: boil sections in 10mM citrate buffer, pH6, for 10-20 min.
SDS-PAGE Analysis of Purified, BSA-Free Neuron Specific Enolase Antibody (clone ENO2/1462). Confirmation of Integrity and Purity of the Antibody.
Species Reactivity Human, Mouse, Rat
Format Purified
Clonality Monoclonal (mouse origin)
Isotype Mouse IgG2b, kappa
Clone Name ENO2/1462
Purity Protein G affinity chromatography
Buffer 1X PBS, pH 7.4
UniProt P09104
Localization Cytoplasmic
Applications Immunohistochemistry (FFPE) : 0.1-0.2ug/ml for 30 min at RT
Limitations This Neuron Specific Enolase antibody is available for research use only.
Review this product on BioCompare and get a $20 Amazon gift card

Related Products

Description

This mAb recognizes a protein of about 50 kDa which is identified as gamma-Enolase/Neuron Specific Enolase/Enolase 2. Three isoenzymes of enolases are identified, alpha, beta and gamma. Alpha-isoform is expressed in most tissues, whereas beta-form is expressed predominantly in muscle tissue and gamma-enolase is found only in nervous tissue. These isoforms exist as both homodimers and heterodimers, and they play a role in converting phosphoglyceric acid to phosphenolpyruvic acid in the glycolytic pathway. NSE is a useful marker to identify peripheral nerves and tumors of neuro-endocrine origins, such as pheochromocytomas. It it be usually employed in combination with other markers such as Synaptophysin, Chromogranin A, and Neurofilament.

Application Notes

The concentration stated for each application is a general starting point. Variations in protocols, secondaries and substrates may require the Neuron Specific Enolase antibody to be titered up or down for optimal performance.

1. The prediluted format is supplied in a dropper bottle and is optimized for use in IHC. After epitope retrieval step (if required), drip mAb solution onto the tissue section and incubate at RT for 30 min.

Immunogen

Amino acids 416-433 of human NSE were used as the immunogen for this Neuron Specific Enolase antibody.

Storage

Store the Neuron Specific Enolase antibody at 2-8oC (with azide) or aliquot and store at -20oC or colder (without azide).

Cross
Bulk Quote Request Form
Name*:
Organization*:
Email*:
Phone Number*:
Catalog No.*:
Comments and Specifics(amount, formulation, etc.)*:
Validation code: Captchapackage Image


Can't read the image? click here to refresh.
    *required field

Your bulk quote request has been submitted successfully!

Please contact us if you have any questions.