• Tel: 858.663.9055
  • SeparatorEmail: info@nsjbio.com
  • Tel: 858.663.9055
  • Email: info@nsjbio.com
Home >> Antibodies >> Neuromedin-S Antibody / Nms

Neuromedin-S Antibody / Nms (RQ7098)

  Catalog No Formulation Size Price (USD)  
Image RQ7098 0.5mg/ml if reconstituted with 0.2ml sterile DI water 100 ug 439
Bulk quote request
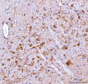
IHC staining of FFPE rat brain tissue with Neuromedin-S antibody. HIER: boil tissue sections in pH8 EDTA for 20 min and allow to cool before testing.
IHC staining of FFPE mouse brain tissue with Neuromedin-S antibody. HIER: boil tissue sections in pH8 EDTA for 20 min and allow to cool before testing.
Availability 1-3 business days
Species Reactivity Mouse, Rat
Format Antigen affinity purified
Clonality Polyclonal (rabbit origin)
Isotype Rabbit IgG
Purity Antigen affinity purified
Buffer Lyophilized from 1X PBS with 2% Trehalose
UniProt Q5H8A1
Applications Immunohistochemistry (FFPE) : 2-5ug/ml
Direct ELISA : 0.1-0.5ug/ml
Limitations This Neuromedin-S antibody is available for research use only.
Review this product on BioCompare and get a $20 Amazon gift card

Description

Neuromedin S is a 36-amino acid neuropeptide found in the brain of humans and other mammals. This gene encodes a member of the neuromedin family of neuropeptides. The encoded protein is a precursor that is proteolytically processed to generate a biologically active neuropeptide that plays a role in the regulation of circadian rhythm, anorexigenic action, antidiuretic action, cardiovascular function and stimulation of oxytocin and vasopressin release. Mice lacking the encoded neuropeptide exhibit decreased heart rate without any accompanying changes in blood pressure. Alternative splicing results in multiple transcript variants encoding different isoforms that may undergo similar processing to generate the mature peptide.

Application Notes

Optimal dilution of the Neuromedin-S antibody should be determined by the researcher.

Immunogen

Recombinant mouse protein (amino acids D36-N144) was used as the immunogen for the Neuromedin-S antibody.

Storage

After reconstitution, the Neuromedin-S antibody can be stored for up to one month at 4oC. For long-term, aliquot and store at -20oC. Avoid repeated freezing and thawing.

Cross
Bulk Quote Request Form
Name*:
Organization*:
Email*:
Phone Number*:
Catalog No.*:
Comments and Specifics(amount, formulation, etc.)*:
Validation code: Captchapackage Image


Can't read the image? click here to refresh.
    *required field

Your bulk quote request has been submitted successfully!

Please contact us if you have any questions.