• Tel: 858.663.9055
  • SeparatorEmail: info@nsjbio.com
  • Tel: 858.663.9055
  • Email: info@nsjbio.com
Home >> Antibodies >> Neurogenin 3 Antibody

Neurogenin 3 Antibody [clone NGN3/1808] (V4090)

  Catalog No Formulation Size Price (USD)  
Image V4090-100UG 0.2 mg/ml in 1X PBS with 0.1 mg/ml BSA (US sourced), 0.05% sodium azide 100 ug 539
Image
V4090-20UG 0.2 mg/ml in 1X PBS with 0.1 mg/ml BSA (US sourced), 0.05% sodium azide 20 ug 249
Image
V4090SAF-100UG 1 mg/ml in 1X PBS; BSA free, sodium azide free 100 ug 539
Bulk quote request
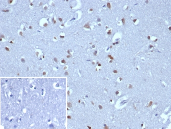
IHC staining of FFPE human brain tissue with NEUROG3 antibody (clone NGN3/1808) HIER: boil tissue sections in pH 9 10mM Tris with 1mM EDTA for 20 min and allow to cool before testing.
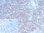
IHC staining of FFPE human tonsil tissue with NEUROG3 antibody (clone NGN3/1808) Inset: PBS used in place of primary Ab (secondary Ab negative control). HIER: boil tissue sections in pH 9 10mM Tris with 1mM EDTA for 20 min and allow to cool before testing.
SDS-PAGE analysis of purified, BSA-free NEUROG3 antibody (clone NGN3/1808) as confirmation of integrity and purity.
Availability 1-3 business days
Species Reactivity Human
Format Purified
Clonality Monoclonal (mouse origin)
Isotype Mouse IgG2b, kappa
Clone Name NGN3/1808
Purity Protein A/G affinity
UniProt Q9Y4Z2
Localization Nucleus
Applications Immunohistochemistry (FFPE) : 1-2ug/ml for 30 minutes at RT
Limitations This Neurogenin 3 antibody is available for research use only.
Review this product on BioCompare and get a $20 Amazon gift card

Related Products

Description

This antigen is a transcription factor that interacts with NKX2-2 to regulation transcription of NEUROD1. The neurogenin family of proteins belongs to the basic helix-loop-helix (bHLH) superfamily and consists of Neurogenin 1, Neurogenin 2 and Neurogenin 3 (also designated ngn3). bHLH members are transcriptional regulators that determine cell fate. Neurogenin 3 is expressed in discrete regions of developing neurons and in the embryonic pancreatic islets of Langerhans. HNF-6 (hepatocyte nuclear factor 6) acts as a positive regulator of Neurogenin 3 by binding to and stimulating the neurogenin gene promoter. Neurogenin 3 is involved in the initial differentiation of the four islets cell types, while a network of transcription factors, including Hlxb9, Isl1, NeuroD, Nkx-2.2, Nkx-6.4, Pax-4, Pax-6, PDX-1 and Mash1, are required for final differentiation. Neurogenin 3 acts upstream of NeuroD in a bHLH cascade. Neurogenin 3 activates the expression of NeuroD at the onset of islet cell differentiation through box sequences E1 and E3 in the NeuroD promoter.

Application Notes

Optimal dilution of the Neurogenin 3 antibody should be determined by the researcher.

Immunogen

A recombinant partial protein (within amino acids 1-200) from the human protein was used as the immunogen for the Neurogenin 3 antibody.

Storage

Aliquot the Neurogenin 3 antibody and store frozen at -20oC or colder. Avoid repeated freeze-thaw cycles.

Cross
Bulk Quote Request Form
Name*:
Organization*:
Email*:
Phone Number*:
Catalog No.*:
Comments and Specifics(amount, formulation, etc.)*:
Validation code: Captchapackage Image


Can't read the image? click here to refresh.
    *required field

Your bulk quote request has been submitted successfully!

Please contact us if you have any questions.