• Tel: 858.663.9055
  • SeparatorEmail: info@nsjbio.com
  • Tel: 858.663.9055
  • Email: info@nsjbio.com
Home >> Antibodies >> Neurogenin 3 Antibody / NGN3

Neurogenin 3 Antibody / NGN3 [clone PCRP-NEUROG3-1E10] (V9690)

  Catalog No Formulation Size Price (USD)  
Image V9690-100UG 0.2 mg/ml in 1X PBS with 0.1 mg/ml BSA (US sourced), 0.05% sodium azide 100 ug 539
Image
V9690-20UG 0.2 mg/ml in 1X PBS with 0.1 mg/ml BSA (US sourced), 0.05% sodium azide 20 ug 249
Image
V9690SAF-100UG 1 mg/ml in 1X PBS; BSA free, sodium azide free 100 ug 539
Microvalidated
Bulk quote request
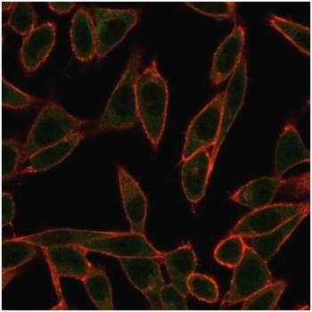
Immunofluorescent staining of PFA-fixed human HeLa cells using Neurogenin 3 antibody (green, clone PCRP-NEUROG3-1E10) and phalloidin (red).
FACS staining of PFA-fixed human HeLa cells with Neurogenin 3 antibody (blue, clone PCRP-NEUROG3-1E10) and isotype control (red).
SDS-PAGE analysis of purified, BSA-free Neurogenin 3 antibody (clone PCRP-NEUROG3-1E10) as confirmation of integrity and purity.
Analysis of HuProt(TM) microarray containing more than 19,000 full-length human proteins using Neurogenin 3 antibody (clone PCRP-NEUROG3-1E10). These results demonstrate the foremost specificity of the PCRP-NEUROG3-1E10 mAb. Z- and S- score: The Z-score represents the strength of a signal that an antibody (in combination with a fluorescently-tagged anti-IgG secondary Ab) produces when binding to a particular protein on the HuProt(TM) array. Z-scores are described in units of standard deviations (SD's) above the mean value of all signals generated on that array. If the targets on the HuProt(TM) are arranged in descending order of the Z-score, the S-score is the difference (also in units of SD's) between the Z-scores. The S-score therefore represents the relative target specificity of an Ab to its intended target.
Availability 1-3 business days
Species Reactivity Human
Format Purified
Clonality Monoclonal (mouse origin)
Isotype Mouse IgG2b
Clone Name PCRP-NEUROG3-1E10
Purity Protein A/G affinity
UniProt Q9Y4Z2
Localization Nucleus
Applications ELISA (order BSA-free Format For Coating) :
Immunofluorescence : 1-2ug/ml
Flow Cytometry : 1-2ug/million cells
Limitations This Neurogenin 3 antibody is available for research use only.
Review this product on BioCompare and get a $20 Amazon gift card

Related Products

Description

This antigen is a transcription factor that interacts with NKX2-2 to regulation transcription of NEUROD1. The neurogenin family of proteins belongs to the basic helix-loop-helix (bHLH) superfamily and consists of Neurogenin 1, Neurogenin 2 and Neurogenin 3 (also designated ngn3). bHLH members are transcriptional regulators that determine cell fate. Neurogenin 3 is expressed in discrete regions of developing neurons and in the embryonic pancreatic islets of Langerhans. HNF-6 (hepatocyte nuclear factor 6) acts as a positive regulator of Neurogenin 3 by binding to and stimulating the neurogenin gene promoter. Neurogenin 3 is involved in the initial differentiation of the four islets cell types, while a network of transcription factors, including Hlxb9, Isl1, NeuroD, Nkx-2.2, Nkx-6.4, Pax-4, Pax-6, PDX-1 and Mash1, are required for final differentiation. Neurogenin 3 acts upstream of NeuroD in a bHLH cascade. Neurogenin 3 activates the expression of NeuroD at the onset of islet cell differentiation through box sequences E1 and E3 in the NeuroD promoter.

Application Notes

Optimal dilution of the Neurogenin 3 antibody should be determined by the researcher.

Immunogen

Recombinant human full-length protein was used as the immunogen for the Neurogenin 3 antibody.

Storage

Aliquot the Neurogenin 3 antibody and store frozen at -20oC or colder. Avoid repeated freeze-thaw cycles.

Cross
Bulk Quote Request Form
Name*:
Organization*:
Email*:
Phone Number*:
Catalog No.*:
Comments and Specifics(amount, formulation, etc.)*:
Validation code: Captchapackage Image


Can't read the image? click here to refresh.
    *required field

Your bulk quote request has been submitted successfully!

Please contact us if you have any questions.