• Tel: 858.663.9055
  • SeparatorEmail: info@nsjbio.com
  • Tel: 858.663.9055
  • Email: info@nsjbio.com
Home >> Antibodies >> Neurofilament Antibody Cocktail (Heavy + Light)

Neurofilament Antibody Cocktail (Heavy + Light) [clone NF421 + NFL/736] (V8380)

  Catalog No Formulation Size Price (USD)  
Image V8380-100UG 0.2 mg/ml in 1X PBS with 0.1 mg/ml BSA (US sourced) and 0.05% sodium azide 100 ug 539
Image
V8380-20UG 0.2 mg/ml in 1X PBS with 0.1 mg/ml BSA (US sourced) and 0.05% sodium azide 20 ug 249
Image
V8380SAF-100UG 1 mg/ml in 1X PBS; BSA free, sodium azide free 100 ug 539
Bulk quote request
Immunofluorescent staining of permeabilized human HEK293 cells with Neurofilament antibody cocktail (green) and Palloidin (red).
Flow cytometry testing of permeabilized human HEK293 cells with Neurofilament antibody cocktail (clone NF421 + NFL/736); Red=isotype control, Blue= Neurofilament antibody cocktail.
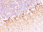
IHC staining of FFPE human cerebellum with Neurofilament antibody cocktail (NF421 + NFL/736). HIER: boil tissue sections in pH6, 10mM citrate buffer, for 20 min and allow to cool before testing.
IHC staining of FFPE rat cerebellum with Neurofilament antibody cocktail (NF421 + NFL/736). HIER: boil tissue sections in pH6, 10mM citrate buffer, for 20 min and allow to cool before testing.
Availability 1-3 business days
Species Reactivity Human
Format Purified
Clonality Monoclonal (mouse origin)
Isotype Mouse IgG1, kappa + Mouse IgG1, kappa
Clone Name NF421 + NFL/736
Purity Protein G affinity chromatography
UniProt P12036
Localization Cytoplasmic
Applications Flow Cytometry : 1-2ug/ million cells
Immunofluorescence : 1-2ug/ml
Immunohistochemistry (FFPE) : 0.5-1ug/ml for 30 minutes at RT
Limitations This Neurofilament antibody cocktail is available for research use only.
Review this product on BioCompare and get a $20 Amazon gift card

Related Products

Description

This MAb reacts with a 200kDa and 68kDa protein, identified as heavy and light sub-units of neurofilaments (NF-H & NF-L). Neurofilaments make up the main structural elements of axons and dendrites and are found in neurons, peripheral nerves, and sympathetic ganglion cells. Neurofilaments consist of three major subunits with molecular weights of 68kDa (NF-L), 160kDa (NF-M) and 200kDa (NF-H). Anti-neurofilament stains a number of neural, neuroendocrine, and endocrine tumors. Neuromas, ganglioneuromas, gangliogliomas, ganglioneuroblastomas, and neuroblastomas stain positively for anti-neurofilament. Neurofilaments are also present in paragangliomas as well as adrenal and extra-adrenal pheochromocytomas. Carcinoids, neuroendocrine carcinomas of the skin, and oat cell carcinomas of the lung also express neurofilament.

Application Notes

Optimal dilution of the Neurofilament antibody cocktail should be determined by the researcher.

Immunogen

Recombinant human neurofilament protein was used as the immunogen for the Neurofilament antibody cocktail.

Storage

Store the Neurofilament antibody cocktail at 2-8oC (with azide) or aliquot and store at -20oC or colder (without azide).

Cross
Bulk Quote Request Form
Name*:
Organization*:
Email*:
Phone Number*:
Catalog No.*:
Comments and Specifics(amount, formulation, etc.)*:
Validation code: Captchapackage Image


Can't read the image? click here to refresh.
    *required field

Your bulk quote request has been submitted successfully!

Please contact us if you have any questions.