• Tel: 858.663.9055
  • SeparatorEmail: info@nsjbio.com
  • Tel: 858.663.9055
  • Email: info@nsjbio.com
Home >> Antibodies >> Neurofilament-66 Antibody / Alpha Internexin

Neurofilament-66 Antibody / Alpha Internexin (RQ6489)

  Catalog No Formulation Size Price (USD)  
Image RQ6489 0.5mg/ml if reconstituted with 0.2ml sterile DI water 100 ug 439
Bulk quote request
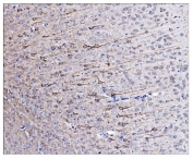
IHC staining of FFPE mouse brain tissue with Neurofilament-66 antibody. HIER: boil tissue sections in pH8 EDTA for 20 min and allow to cool before testing.
IHC staining of FFPE mouse brain tissue with Neurofilament-66 antibody. HIER: boil tissue sections in pH8 EDTA for 20 min and allow to cool before testing.
IHC staining of FFPE rat brain tissue with Neurofilament-66 antibody. HIER: boil tissue sections in pH8 EDTA for 20 min and allow to cool before testing.
Immunofluorescent staining of FFPE rat brain tissue with Neurofilament-66 antibody (green) and DAPI nuclear stain (blue). HIER: steam section in pH6 citrate buffer for 20 min.
Immunofluorescent staining of FFPE human SiHa cells with Neurofilament-66 antibody (green) and DAPI nuclear stain (blue). HIER: steam section in pH6 citrate buffer for 20 min.
Western blot testing of 1) rat brain and 2) mouse brain tissue lysate with Neurofilament-66 antibody. Predicted molecular weight ~55 kDa but routinely observed at ~66 kDa.
Flow cytometry testing of human A549 cells with Neurofilament-66 antibody at 1ug/million cells (blocked with goat sera); Red=cells alone, Green=isotype control, Blue= Neurofilament-66 antibody.
Availability 1-3 business days
Species Reactivity Human, Mouse, Rat
Format Antigen affinity purified
Clonality Polyclonal (rabbit origin)
Isotype Rabbit IgG
Purity Affinity purified
Buffer Lyophilized from 1X PBS with 2% Trehalose
UniProt Q16352
Localization Cytoplasmic
Applications Western Blot : 1-2ug/ml
Immunohistochemistry (FFPE) : 2-5ug/ml
Immunofluorescence : 5ug/ml
Immunofluorescence : 5ug/ml
Flow Cytometry : 1-3ug/million cells
Direct ELISA : 0.1-0.5ug/ml
Limitations This Neurofilament-66 antibody is available for research use only.
Review this product on BioCompare and get a $20 Amazon gift card

Related Products

Description

Alpha-Internexin (INA; also NF-66) is a 66 kDa member of the intermediate filament (IF) protein family. The protein was originally purified from rat optic nerve and spinal cord. And the protein copurifies with other neurofilament subunits, as it was originally discovered, however in some mature neurons it can be the only neurofilament expressed. The protein is present in developing neuroblasts and in the central nervous system of adults. Meanwhile, the protein is a major component of the intermediate filament network in small interneurons and cerebellar granule cells, where it is present in the parallel fibers.

Application Notes

Optimal dilution of the Neurofilament-66 antibody should be determined by the researcher.

Immunogen

An E. coli-derived human protein (amino acids L62-D169) was used as the immunogen for the Neurofilament-66 antibody.

Storage

After reconstitution, the Neurofilament-66 antibody can be stored for up to one month at 4oC. For long-term, aliquot and store at -20oC. Avoid repeated freezing and thawing.

Cross
Bulk Quote Request Form
Name*:
Organization*:
Email*:
Phone Number*:
Catalog No.*:
Comments and Specifics(amount, formulation, etc.)*:
Validation code: Captchapackage Image


Can't read the image? click here to refresh.
    *required field

Your bulk quote request has been submitted successfully!

Please contact us if you have any questions.