• Tel: 858.663.9055
  • SeparatorEmail: info@nsjbio.com
  • Tel: 858.663.9055
  • Email: info@nsjbio.com
Home >> Antibodies >> NeuroD1 Antibody

NeuroD1 Antibody (F47842)

  Catalog No Formulation Size Price (USD)  
Image F47842-0.4ML In 1X PBS, pH 7.4, with 0.09% sodium azide 0.4 ml 429
Image
F47842-0.08ML In 1X PBS, pH 7.4, with 0.09% sodium azide 0.08 ml 199
Bulk quote request
Fluorescent confocal image of HepG2 cells stained with NeuroD1 antibody. Alexa Fluor 488 conjugated secondary (green) was used. Cytoplasmic actin (red) and nuclei (blue) were counterstained. NeuroD1 immunoreactivity is localized to vesicles.
ES cells were transiently transfected with Flag-tagged mouse NeuroD1 (tagged on N-term), fixed 24h post transfection and stained for flag tag (red) to check expression. NeuroD1 antibody (1:100) showed predominantly nuclear staining wtih some cytoplasmic.
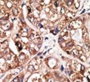
IHC analysis of FFPE human hepatocarcinoma tissue stained with the NeuroD1 antibody
Western blot analysis of NeuroD1 and HepG2 lysate
Availability 1-3 business days
Species Reactivity Human
Format Purified
Clonality Polyclonal (rabbit origin)
Isotype Rabbit Ig
Purity Purified
UniProt Q13562
Applications Western Blot : 1:1000
Immunofluorescence : 1:10-1:50
IHC (Paraffin) : 1:50-1:100
Limitations This NeuroD1 antibody is available for research use only.
Review this product on BioCompare and get a $20 Amazon gift card

Related Products

  • Applications : WB, ELISA
    Reactivity : Human, Mouse, Rat

Description

NeuroD1 acts as a differentiation factor during neurogenesis. They are expressed transiently in a subset of neurons in the central and peripheral nervous systems at the time of their terminal differentiation. NeuroD1 is a basic helix-loop-helix (bHLH) protein contain 1 bHLH domain. NeuroD1 is a transcriptional activator, for efficient DNA binding it requires dimerization with another bHLH protein. It was reported that NeuroD1 involves heterodimerization with the ubiquitous bHLH protein E47, and regulates insulin gene expression by binding to a critical E-box motif on the insulin promoter. Defects in NEUROD1 causes maturity onset diabetes of the young type VI. MODY6 is a form of non-insulin-dependent diabetes mellitus (NIDDM) characterized by an autosomal dominant mode of inheritance, onset during young adulthood and a primary defect in insulin secretion.

Application Notes

Titration of the NeuroD1 antibody may be required due to differences in protocols and secondary/substrate sensitivity.

Immunogen

A portion of amino acids 15-45 from the human protein was used as the immunogen for this NeuroD1 antibody.

Storage

Aliquot the NeuroD1 antibody and store frozen at -20oC or colder. Avoid repeated freeze-thaw cycles.

Cross
Bulk Quote Request Form
Name*:
Organization*:
Email*:
Phone Number*:
Catalog No.*:
Comments and Specifics(amount, formulation, etc.)*:
Validation code: Captchapackage Image


Can't read the image? click here to refresh.
    *required field

Your bulk quote request has been submitted successfully!

Please contact us if you have any questions.