• Tel: 858.663.9055
  • SeparatorEmail: info@nsjbio.com
  • Tel: 858.663.9055
  • Email: info@nsjbio.com
Home >> Antibodies >> Neuregulin-1 Antibody / NRG1

Neuregulin-1 Antibody / NRG1 [clone NRG1/2710] (V7841)

  Catalog No Formulation Size Price (USD)  
Image V7841-100UG 0.2 mg/ml in 1X PBS with 0.1 mg/ml BSA (US sourced) and 0.05% sodium azide 100 ug 539
Image
V7841-20UG 0.2 mg/ml in 1X PBS with 0.1 mg/ml BSA (US sourced) and 0.05% sodium azide 20 ug 249
Image
V7841SAF-100UG 1 mg/ml in 1X PBS; BSA free, sodium azide free 100 ug 539
Microvalidated
Bulk quote request
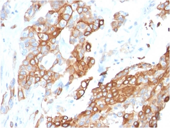
IHC staining of FFPE human breast carcinoma with Neuregulin-1 antibody (clone NRG1/2710). HIER: boil tissue sections in pH 9 10mM Tris with 1mM EDTA for 10-20 min and allow to cool before testing.
Analysis of HuProt(TM) microarray containing more than 19,000 full-length human proteins using Neuregulin-1 antibody (clone NRG1/2710). These results demonstrate the foremost specificity of the NRG1/2710 mAb.
Z- and S- score: The Z-score represents the strength of a signal that an antibody (in combination with a fluorescently-tagged anti-IgG secondary Ab) produces when binding to a particular protein on the HuProt(TM) array. Z-scores are described in units of standard deviations (SD's) above the mean value of all signals generated on that array. If the targets on the HuProt(TM) are arranged in descending order of the Z-score, the S-score is the difference (also in units of SD's) between the Z-scores. The S-score therefore represents the relative target specificity of an Ab to its intended target.
SDS-PAGE analysis of purified, BSA-free Neuregulin-1 antibody (clone NRG1/2710) as confirmation of integrity and purity.
Availability 1-3 business days
Species Reactivity Human
Format Purified
Clonality Monoclonal (mouse origin)
Isotype Mouse IgG1, kappa
Clone Name NRG1/2710
Purity Protein G affinity chromatography
UniProt Q02297
Applications Immunohistochemistry (FFPE) : 1-2ug/ml
Limitations This Neuregulin-1 antibody is available for research use only.
Review this product on BioCompare and get a $20 Amazon gift card

Related Products

Description

Neuregulin-1, also called Heregulin-1, is a membrane glycoprotein that mediates cell-cell signaling and plays a critical role in the growth and development of multiple organ systems. An extraordinary variety of different isoforms are produced from this gene through alternative promoter usage and splicing. These isoforms are expressed in a tissue-specific manner and differ significantly in their structure, and are classified as types I, II, III, IV, V and VI. Dysregulation of this gene has been linked to diseases such as cancer, schizophrenia, and bipolar disorder (BPD).

Application Notes

Optimal dilution of the Neuregulin-1 antibody should be determined by the researcher.

Immunogen

A recombinant human partial protein (amino acids 21-242) was used as the immunogen for the Neuregulin-1 antibody.

Storage

Store the Neuregulin-1 antibody at 2-8oC (with azide) or aliquot and store at -20oC or colder (without azide).

Cross
Bulk Quote Request Form
Name*:
Organization*:
Email*:
Phone Number*:
Catalog No.*:
Comments and Specifics(amount, formulation, etc.)*:
Validation code: Captchapackage Image


Can't read the image? click here to refresh.
    *required field

Your bulk quote request has been submitted successfully!

Please contact us if you have any questions.