• Tel: 858.663.9055
  • SeparatorEmail: info@nsjbio.com
  • Tel: 858.663.9055
  • Email: info@nsjbio.com
Home >> Antibodies >> NeuN Antibody / Rbfox3 / Fox3

NeuN Antibody / Rbfox3 / Fox3 [clone rNEUN/8054] (V4557)

  Catalog No Formulation Size Price (USD)  
Image V4557-100UG 0.2 mg/ml in 1X PBS with 0.1 mg/ml BSA (US sourced), 0.05% sodium azide 100 ug 539
Image
V4557-20UG 0.2 mg/ml in 1X PBS with 0.1 mg/ml BSA (US sourced), 0.05% sodium azide 20 ug 249
Image
V4557SAF-100UG 1 mg/ml in 1X PBS; BSA free, sodium azide free 100 ug 539
Microvalidated Recmousemono
Bulk quote request
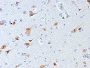
IHC staining of FFPE human brain tissue with NeuN antibody (clone rNEUN/8054). HIER: boil tissue sections in pH 9 10mM Tris with 1mM EDTA for 20 min and allow to cool before testing.
SDS-PAGE analysis of purified, BSA-free NeuN antibody (clone rNEUN/8054) as confirmation of integrity and purity.
Availability 1-3 business days
Species Reactivity Human
Format Purified
Clonality Recombinant Mouse Monoclonal
Isotype Mouse IgG1, kappa
Clone Name rNEUN/8054
Purity Protein A/G affinity
UniProt A6NFN3
Localization Nucleus, Cytoplasm
Applications Immunohistochemistry (FFPE) : 1-2ug/ml for 30 min at RT
Limitations This NeuN antibody is available for research use only.
Review this product on BioCompare and get a $20 Amazon gift card

Related Products

Description

NeuN antibody specifically recognizes the DNA-binding, neuron-specific protein NeuN, which is present in most CNS and PNS neuronal cell types of all vertebrates tested. NeuN protein distributions are apparently restricted to neuronal nuclei and some proximal neuronal processes in both fetal and adult brain although, some neurons fail to be recognized by NeuN at all ages: INL retinal cells, Cajal-Retzius cells, Purkinje cells, inferior olivary and dentate nucleus neurons, and sympathetic ganglion cells are examples. Immunohistochemically detectable NeuN protein first appears at developmental timepoints that correspond with the withdrawal of the neuron from the cell cycle and/or with the initiation of terminal differentiation of the neuro. Immunoreactivity appears around E9.5 in the mouse neural tube and is extensive throughout the developing nervous system by E12.5. Strong nuclear staining suggests a nuclear regulatory protein function; however, no evidence currently exists as to whether the NeuN protein antigen has a function in the distal cytoplasm or whether it is merely synthesized there before being transported back into the nucleus. No difference between protein isolated from purified nuclei and whole brain extract on immunoblots has been found.

Application Notes

Optimal dilution of the NeuN antibody should be determined by the researcher.

Immunogen

A recombinant partial protein sequence (within amino acids 1-200) from the human protein was used as the immunogen for the NeuN antibody.

Storage

Aliquot the NeuN antibody and store frozen at -20oC or colder. Avoid repeated freeze-thaw cycles.

Cross
Bulk Quote Request Form
Name*:
Organization*:
Email*:
Phone Number*:
Catalog No.*:
Comments and Specifics(amount, formulation, etc.)*:
Validation code: Captchapackage Image


Can't read the image? click here to refresh.
    *required field

Your bulk quote request has been submitted successfully!

Please contact us if you have any questions.