• Tel: 858.663.9055
  • SeparatorEmail: info@nsjbio.com
  • Tel: 858.663.9055
  • Email: info@nsjbio.com
Home >> Antibodies >> Netrin 1 Antibody / NTN1

Netrin 1 Antibody / NTN1 (R34435)

  Catalog No Formulation Size Price (USD)  
Image R34435-100UG 0.5 mg/ml in 1X TBS, pH7.3, with 0.5% BSA (US sourced) and 0.02% sodium azide 100 ug 449
Bulk quote request
Western blot testing of rat brain lysate with Netrin 1 antibody at 0.5ug/ml. Expected molecular weight: 68-75 kDa depending on glycosylation level.
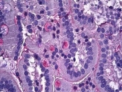
IHC testing of FFPE human intestinal tissue with Netrin 1 antibody at 3.75ug/ml. Required HIER: steamed antigen retrieval with pH6 citrate buffer; AP-staining.
Availability 1-3 business days
Species Reactivity Human, Rat
Predicted Reactivity Cow, Dog, Mouse
Format Antigen affinity purified
Clonality Polyclonal (goat origin)
Isotype Goat Ig
Purity Antigen affinity
Gene ID 9423
Localization Cytoplasmic, secreted
Applications Western Blot : 0.5-2ug/ml
IHC (FFPE) : 3.75ug/ml
ELISA (peptide) LOD : 1:32000
Limitations This Netrin 1 antibody is available for research use only.
Review this product on BioCompare and get a $20 Amazon gift card

Related Products

Description

Additional name(s) for this target protein: NTN1L; NTN1

Application Notes

Optimal dilution of the Netrin 1 antibody should be determined by the researcher.

Immunogen

Amino acids KFQQREKKGKCKKA were used as the immunogen for this Netrin 1 antibody.

Storage

Aliquot and store the Netrin 1 antibody at -20oC.

Cross
Bulk Quote Request Form
Name*:
Organization*:
Email*:
Phone Number*:
Catalog No.*:
Comments and Specifics(amount, formulation, etc.)*:
Validation code: Captchapackage Image


Can't read the image? click here to refresh.
    *required field

Your bulk quote request has been submitted successfully!

Please contact us if you have any questions.