• Tel: 858.663.9055
  • SeparatorEmail: info@nsjbio.com
  • Tel: 858.663.9055
  • Email: info@nsjbio.com
Home >> Antibodies >> Nesprin 3 Antibody / SYNE3

Nesprin 3 Antibody / SYNE3 (RQ7746)

  Catalog No Formulation Size Price (USD)  
Image RQ7746 0.5mg/ml if reconstituted with 0.2ml sterile DI water 100 ug 439
Bulk quote request
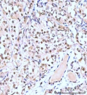
IHC staining of FFPE human liver cancer tissue with Nesprin 3 antibody. HIER: boil tissue sections in pH8 EDTA for 20 min and allow to cool before testing.
IHC staining of FFPE human thyroid papillary carcinoma tissue with Nesprin 3 antibody. HIER: boil tissue sections in pH8 EDTA for 20 min and allow to cool before testing.
IHC staining of FFPE human spleen rupture tissue with Nesprin 3 antibody. HIER: boil tissue sections in pH8 EDTA for 20 min and allow to cool before testing.
IHC staining of FFPE human mouse liver tissue with Nesprin 3 antibody. HIER: boil tissue sections in pH8 EDTA for 20 min and allow to cool before testing.
Western blot testing of human 1) 293T and 2) HeLa cell lysate with Nesprin 3 antibody. Predicted molecular weight ~112 kDa.
Flow cytometry testing of human U-87 MG cells with Nesprin 3 antibody at 1ug/million cells (blocked with goat sera); Red=cells alone, Green=isotype control, Blue= Nesprin 3 antibody.
Availability 1-3 business days
Species Reactivity Human, Mouse
Format Antigen affinity purified
Clonality Polyclonal (rabbit origin)
Isotype Rabbit IgG
Purity Antigen affinity purified
Buffer Lyophilized from 1X PBS with 2% Trehalose
UniProt Q6ZMZ3
Localization Nuclear, cytoplasmic
Applications Western Blot : 0.5-1ug/ml
Immunohistochemistry (FFPE) : 2-5ug/ml
Flow Cytometry : 1-3ug/million cells
Direct ELISA : 0.1-0.5ug/ml
Limitations This Nesprin 3 antibody is available for research use only.
Review this product on BioCompare and get a $20 Amazon gift card

Description

Enables actin filament binding activity and cytoskeleton-nuclear membrane anchor activity. Involved in cytoskeleton organization; establishment of protein localization to membrane; and regulation of cell shape. Located in nuclear membrane. Part of meiotic nuclear membrane microtubule tethering complex. Biomarker of Huntington's disease.

Application Notes

Optimal dilution of the Nesprin 3 antibody should be determined by the researcher.

Immunogen

E. coli-derived recombinant human protein (amino acids R322-L495) was used as the immunogen for the Nesprin 3 antibody.

Storage

After reconstitution, the Nesprin 3 antibody can be stored for up to one month at 4oC. For long-term, aliquot and store at -20oC. Avoid repeated freezing and thawing.

Cross
Bulk Quote Request Form
Name*:
Organization*:
Email*:
Phone Number*:
Catalog No.*:
Comments and Specifics(amount, formulation, etc.)*:
Validation code: Captchapackage Image


Can't read the image? click here to refresh.
    *required field

Your bulk quote request has been submitted successfully!

Please contact us if you have any questions.