• Tel: 858.663.9055
  • SeparatorEmail: info@nsjbio.com
  • Tel: 858.663.9055
  • Email: info@nsjbio.com
Home >> Antibodies >> Neprilysin Antibody / CD10

Neprilysin Antibody / CD10 [clone GEH-13] (RQ5217)

  Catalog No Formulation Size Price (USD)  
Image RQ5217 Antibody in PBS with 0.02% sodium azide, 50% glycerol and 0.4-0.5mg/ml BSA 100 ul 439
Microvalidated Rab Mono Image
Bulk quote request
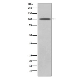
Western blot testing of human Jurkat cell lysate with Neprilysin antibody. Routinely visualized at ~100 kDa.
Availability 1-2 weeks
Species Reactivity Human
Format Purified
Clonality Rabbit Monoclonal
Isotype Rabbit IgG
Clone Name GEH-13
Purity Affinity purified
UniProt P08473
Applications Western Blot : 1:1000-1:2000
Limitations This Neprilysin antibody is available for research use only.
Review this product on BioCompare and get a $20 Amazon gift card

Related Products

Description

The protein encoded by this gene is a type II transmembrane glycoprotein and a common acute lymphocytic leukemia antigen that is an important cell surface marker in the diagnosis of human acute lymphocytic leukemia (ALL). The encoded protein is present on leukemic cells of pre-B phenotype, which represent 85% of cases of ALL. This protein is not restricted to leukemic cells, however, and is found on a variety of normal tissues. The protein is a neutral endopeptidase that cleaves peptides at the amino side of hydrophobic residues and inactivates several peptide hormones including glucagon, enkephalins, substance P, neurotensin, oxytocin, and bradykinin. [RefSeq]

Application Notes

Optimal dilution of the Neprilysin antibody should be determined by the researcher.

Immunogen

A synthetic peptide specific to human CD10 / Neprilysin was used as the immunogen for the Neprilysin antibody.

Storage

Store the Neprilysin antibody at -20oC.

Cross
Bulk Quote Request Form
Name*:
Organization*:
Email*:
Phone Number*:
Catalog No.*:
Comments and Specifics(amount, formulation, etc.)*:
Validation code: Captchapackage Image


Can't read the image? click here to refresh.
    *required field

Your bulk quote request has been submitted successfully!

Please contact us if you have any questions.