• Tel: 858.663.9055
  • SeparatorEmail: info@nsjbio.com
  • Tel: 858.663.9055
  • Email: info@nsjbio.com
Home >> Antibodies >> NELFE Antibody / Negative elongation factor E / RD

NELFE Antibody / Negative elongation factor E / RD (RQ8172)

  Catalog No Formulation Size Price (USD)  
Image RQ8172 0.5mg/ml if reconstituted with 0.2ml sterile DI water 100 ug 439
Bulk quote request
Immunofluorescent staining of FFPE human A549 cells with NELFE antibody (red) and Beta Tubulin mAb (green). HIER: steam section in pH6 citrate buffer for 20 min.
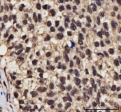
IHC staining of FFPE human lung squamous cell carcinoma tissue with NELFE antibody. HIER: boil tissue sections in pH8 EDTA for 20 min and allow to cool before testing.
IHC staining of FFPE human ovarian cancer tissue with NELFE antibody. HIER: boil tissue sections in pH8 EDTA for 20 min and allow to cool before testing.
Western blot testing of human 1) 293T, 2) HeLa and 3) U-2 OS cell lysate with NELFE antibody. Predicted molecular weight ~43 kDa.
Flow cytometry testing of fixed and permeabilized human 293T cells with NELFE antibody at 1ug/million cells (blocked with goat sera); Red=cells alone, Green=isotype control, Blue= NELFE antibody.
Availability 1-3 business days
Species Reactivity Human
Format Antigen affinity purified
Clonality Polyclonal (rabbit origin)
Isotype Rabbit IgG
Purity Antigen affinity purified
Buffer Lyophilized from 1X PBS with 2% Trehalose
UniProt P18615
Localization Nuclear
Applications Western Blot : 0.5-1ug/ml
Immunohistochemistry (FFPE) : 2-5ug/ml
Immunofluorescence : 5ug/ml
Flow Cytometry : 1-3ug/million cells
Direct ELISA : 0.1-0.5ug/ml
Limitations This NELFE antibody is available for research use only.
Review this product on BioCompare and get a $20 Amazon gift card

Related Products

  • Applications : WB, IHC, ELISA (peptide)
    Reactivity : Human, Mouse
    Pred. Reactivity : Dog
  • Applications : WB, FACS, Direct ELISA
    Reactivity : Human, Rat

Description

Negative elongation factor E (NELFE), also called RNA-binding protein RD, is part of a complex termed negative elongation factor (NELF) which represses RNA polymerase II transcript elongation. This protein bears similarity to nuclear RNA-binding proteins; however, it has not been demonstrated that this protein binds RNA. The protein contains a tract of alternating basic and acidic residues, largely arginine (R) and aspartic acid (D). The gene localizes to the major histocompatibility complex (MHC) class III region on chromosome 6.

Application Notes

Optimal dilution of the NELFE antibody should be determined by the researcher.

Immunogen

E. coli-derived recombinant human protein (amino acids N262-D378) was used as the immunogen for the NELFE antibody.

Storage

After reconstitution, the NELFE antibody can be stored for up to one month at 4oC. For long-term, aliquot and store at -20oC. Avoid repeated freezing and thawing.

Cross
Bulk Quote Request Form
Name*:
Organization*:
Email*:
Phone Number*:
Catalog No.*:
Comments and Specifics(amount, formulation, etc.)*:
Validation code: Captchapackage Image


Can't read the image? click here to refresh.
    *required field

Your bulk quote request has been submitted successfully!

Please contact us if you have any questions.